
Kính áp tròng dính chặt vào giác mạc chàng trai 25 tuổi do lười tháo
Muốn tiện lợi, chàng trai 25 tuổi cứ để kính áp tròng trong mắt và khi mắt sưng tấy, anh không thể tháo nó ra vì kính dính chặt vào giác mạc.

Muốn tiện lợi, chàng trai 25 tuổi cứ để kính áp tròng trong mắt và khi mắt sưng tấy, anh không thể tháo nó ra vì kính dính chặt vào giác mạc.

Sau một lần tắm quên tháo kính áp tròng, một người đàn ông ở Mỹ bị nhiễm ký sinh trùng làm mù mắt.

Do đeo kính áp tròng ngủ qua đêm, người phụ nữ nhập viện trong tình trạng đau rát, chảy mủ vàng nhiều vùng mắt.

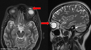
Chiếc kính áp tròng nằm yên vị suốt 28 năm trong mí mắt mà người phụ nữ đến từ Dundee, Scotland không hề hay biết.

Một công ty của Mỹ phát triển loại công nghệ biến mắt người màu nâu chuyển thành màu xanh.

Dailymail ngày 20/9 đưa tin, một bà mẹ 38 tuổi sống tại Úc bị mù một bên mắt trái, hói đầu, chân sưng phù trong suốt 10 năm vì bị nhiễm ký sinh trùng Acanthamoeba thông qua kính áp tròng.

(VTC News) – Dùng kính áp tròng nếu không giữ gìn vệ sinh sẽ bị ký sinh trùng ăn giác mạc, tiến sâu vào làm mù mắt.

Thông tin này được lan truyền trên mạng và đang gây sốc cho giới trẻ.

(VTCNews) -Một trong số những rắc rối khi dùng kính áp tròng thường gặp phải là tình trạng mắt bị khô, khi ấy bạn cần dùng nước mắt nhân tạo.

(VTC News) - Ba người đàn ông đã bị cảnh sát Trung Quốc bắt giữ với tội danh sản xuất kính áp tròng giả mạo tại một quận ngoại thành Thượng Hải vào hôm 17/9.

(VTC News) - Tin buồn tiếp tục đến với Manchester City khi Mario Balotelli sẽ phải nghỉ ít nhất một tháng sau ca phẫu thuật mắt vào tuần tới.

(VTC News) - Chen đã phải trải qua cuộc phẫu thuật cấy ghép giác mạc sau khi bị chẩn đoán nhiễm trùng do sử dụng kính áp tròng không đúng cách.