
Bị chồng phát hiện mua đồ chơi tình dục, người vợ quyết ly hôn
Ngượng chín mặt trước đám đông vì món hàng nhận hộ vợ hóa ra là đồ chơi tình dục, anh Vũ không ngờ cơn giận của mình đã đặt dấu chấm hết cho cuộc hôn nhân.

Ngượng chín mặt trước đám đông vì món hàng nhận hộ vợ hóa ra là đồ chơi tình dục, anh Vũ không ngờ cơn giận của mình đã đặt dấu chấm hết cho cuộc hôn nhân.

Ngoài bán thuốc kích thích, kéo dài thời gian 'yêu' cho phái mạnh, chủ cửa hàng ở Thanh Xuân (Hà Nội) còn tiết lộ mình bán nhiều 'búp bê chân dài' với giá lên đến cả trăm triệu đồng.

Trạm Cảnh sát Giao thông Cầu Nghìn (Phòng CSGT Công an tỉnh Thái Bình) vừa bắt giữ xe container chở hàng tấn đồ chơi bạo lực, đồ chơi kích dục và mỹ phẩm nhập lậu.

Loại hình khách sạn tình yêu lại đang dần trở nên phổ biến ở Trung Quốc với các phòng được trang trí theo chủ đề tình yêu lãng mạn, một số phòng được trang bị cả vật dụng và đồ chơi tình dục.

Sân bay Schönefeld ở Đức được phen náo loạn sau khi nhân viên an ninh nhầm lẫn một món đồ chơi tình dục trong vali của hành khách là một quả lựu đạn.

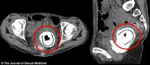
Người đàn ông Đài Loan (30 tuổi) cố chịu đau trong 2 ngày mới chịu đến khám bác sĩ để lấy đồ chơi tình dục mắc kẹt trong bàng quang.

Gã đàn ông dùng bình cứu hỏa phá cửa rồi đột nhập cửa hàng người lớn, đánh cắp một búp bê tình dục trị giá 4.500 USD (khoảng 102 triệu đồng).

Robot trang bị camera đặc biệt có khả năng nhận biết cảm xúc của con người sẽ được bán ra vào cuối năm 2017.

Mới đây, một người đàn ông Thái Lan đã phải nhờ tới sự giúp đỡ của đội cứu hỏa để tháo chiếc nhẫn kim loại ra khỏi “của quý”, sau khi anh cố đeo chúng cho một thử nghiệm tình dục.

Một người đàn ông người Ý đã may mắn không bị mắc phải những chấn thương nghiêm trọng sau khi ông ta cố nhét một cái cốc uống rượu vào hậu môn để tăng cảm giác tình dục.

Hiện nay trên các trang mạng xã hội và trong cộng đồng, chị em rỉ tai nhau về các sản phẩm giúp họ hưng phấn và “chiều” được chồng, thực hư của những sản phẩm này là gì?

Một cú hích lớn trong đời sống chăn gối đã được tạo ra khi những sản phẩm tình dục mới nhất đã có thể kết nối với điện thoại thông minh.

Sextoy đang ngày càng phổ biến và được nhiều người, đặc biệt là giới trẻ yêu thích, tuy nhiên, không phải ai cũng lường trước được những tác hại khôn lường của loại đồ chơi tình dục này.

Bệnh nhân lần này của bác sĩ Nguyễn Thế Lương là một chàng trai 36 tuổi; cái tuổi lẽ ra vẫn còn rất sung mãn, thế mà anh ta lại khai rằng: Rất sợ tình dục.

Emma Phillips (Anh) hoảng hốt khi phát hiện máy rung dài 18 cm kẹt trong bụng mình và phải tới bệnh viện phẫu thuật.

Theo những tư liệu về Michael Jackson của cảnh sát Santa Barbara (California, Mỹ), các nhà chức trách đã phát hiện rất nhiều tài liệu khiêu dâm trẻ em trai, đồ chơi tình dục và các đoạn video quay cảnh tra tấn động vật tại trang trại Neverland của cựu vua nhạc pop này.

Theo như quảng cáo của người phụ nữ Trung Quốc mới khách mua thuốc kích dục thì đàn ông yếu, vợ chê, chỉ cần uống một viên 'một người khỏe, hai người vui.'

Một người đàn ông đã phải hầu tòa vì vô tình khiến người yêu mất mạng khi sử dụng dưa chuột thay cho đồ chơi tình dục trong lúc "mây mưa".

Nữ phóng viên của CNN cho rằng lá cờ đen có chữ trắng là cờ hiệu của tổ chức IS, song thực tế trên lá cờ này lại là hình của các món đồ chơi tình dục (sex toy).

(VTC News) - Hàng trăm sản phẩm đồ chơi tình dục tuồn vào Hà Nội vừa bị cơ quan công an thu giữ.

Một phụ nữ 38 tuổi sống tại Scotland đã chung sống với đồ chơi tình dục trong cơ thể mình suốt 10 năm mà không hề hay biết.