
Thường xuyên ăn ốc, người đàn ông bị sán dây ‘ăn’ não suýt chết
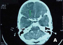
Người đàn ông tên Wang đến từ Trung Quốc bị nhiễm ký sinh trùng (sán dây) do thường xuyên ăn ốc trong các bữa tối.

Người đàn ông tên Wang đến từ Trung Quốc bị nhiễm ký sinh trùng (sán dây) do thường xuyên ăn ốc trong các bữa tối.

Chỉ có những người bị bệnh lý về tai mũi họng, viêm xoang thì sẽ có nguy cơ vi khuẩn xâm nhập cao hơn”

(VTC News) – Trong tháng 8 vừa qua, nước Mỹ đã chứng kiến 3 cái chết do amip ăn não người gây ra, đó là một trường hợp ở Virginia và hai ở Florida.

(VTC News) – Ký sinh trùng ăn não người một khi đã chui vào não thông qua đường mũi sẽ nhanh chóng kết liễu nạn nhân trong thời gian ngắn nhất.