Niềng răng mắc cài mặt trong giá bao nhiêu và có tốt không: Tiết lộ bất ngờ cho các nàng
Niềng răng mắc cài mặt trong giá bao nhiêu và có tốt không là thắc mắc của nhiều người đang có ý định chọn phương pháp niềng răng “giấu” mắc cài vào trong.
Nhiều bạn tự ti vì hàm răng xấu nhưng lại rất ngại để lộ hàng mắc cài từ 1- 3 năm. Niềng răng mắc cài mặt trong như một giải pháp kín đáo được chị em lựa chọn.
Phương pháp này được dùng để khắc phục các trường hợp khiếm khuyết ở răng như hô, móm, thưa, lệch lạc nhưng vẫn đảm bảo được nhu cầu thẩm mỹ và sự tự tin cho người niềng. Những mô tả về niềng răng mắc cài mặt trong là vậy nhưng chi phí và chất lượng thì thế nào?
Niềng răng mắc cài mặt trong là gì?
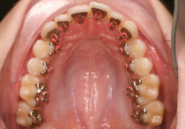
Niềng răng mắc cài mặt trong hay còn gọi niềng răng mắc cài mặt lưỡi là phương pháp chỉnh nha hiện đại với ưu điểm giấu mắc cài vào trong. Cấu tạo mắc cài mặt trong giống mắc cài kim loại truyền thống nhưng thay vì gắn bên ngoài, các mắc cài được gắn vào trong thân răng.
Với phương pháp này, người niềng sẽ tự tin như niềng răng trong suốtvì không sợ để lộ mắc cài khi cười, khi giao tiếp. Phương pháp này được áp dụng với những người nổi tiếng thường tiếp xúc với công chúng, những người làm công việc giao tiếp nhiều với khách hàng, đối tác…
Tương tự như niềng răng mắc cài kim loại, phương pháp niềng răng mắc cài mặt trong dùng để can thiệp tình trạng răng hô, móm, thưa, lệch lạc, đưa các răng bị lệch khớp cắn về đúng vị trên cung hàm, đảm bảo chức năng ăn nhai và thẩm mỹ khi cười, giao tiếp.
Mắc cài kim loại gắn mặt trong của răng
Niềng răng mắc cài mặt trong giá bao nhiêu tiền?
Tham khảo bảng giá nha khoa niềng răng chuyên sâu Up Dental thì chi phí niềng răng mắc cài kim loại mặt trong dao động từ: 80 – 110 triệu, tùy vào mức độ hô, móm, lệch lạc của răng là trung bình, khó hay phức tạp.
Theo đó:
+ Răng ở mức độ trung bình khoảng 80 triệu
+ Răng ở mức độ khó khoảng 100 triệu
+ Răng ở mức độ phức tạp khoảng 110 triệu
Trong khi giá niềng răng mắc cài kim loại thông thường chỉ khoảng 25 – 33 triệu thì niềng răng mặt lưỡi lại cao gấp 3 – 4 lần, vậy lý do vì sao?
Niềng răng mắc cài mặt trong là một phương pháp niềng răng hiện đại được cải tiến từ niềng răng mắc cài kim loại truyền thống. Phương pháp này giúp khắc phục những tình trạng răng như hô, móm, thưa, lệch lạc từ mức độ trung bình đến phức tạp bởi tác động lực của mắc cài và dây cung kéo răng trở về đúng vị trí trên cung hàm, giúp bạn sở hữu nụ cười tự tin và đúng khớp cắn.Với tính chất đặc biệt từ phương pháp niềng, đòi hỏi Bác sĩ phải có kỹ thuật chỉnh nha cao, chuyên môn và kinh nghiệm lâu năm.
Ngoài ra, vì gắn mắc cài phía trong thân răng nên lúc thăm khám và di chuyển răng cần có sự hỗ trợ từ những thiết bị chuyên dụng. Thời gian niềng răng thường kéo dài từ 2 - 3 năm, ảnh hưởng rất nhiều đến cuộc sống và công việc. Theo khảo sát, rất nhiều khách hàng chọn không niềng răng vì ngại đeo mắc cài. Bởi vậy rất nhiều người nổi tiếng, tiếp viên hàng không chọn niềng phương pháp này vì vừa đảm bảo yêu cầu về hiệu quả chỉnh nha nhưng vẫn đảm bảo tính thẩm mỹ bởi mắc cài được gắn phía trong thân răng.
Niềng răng mắc cài mặt trong có tốt không?
Với chi phí cao và thời gian niềng răng trung bình từ 1,5 - 3 năm như thế, nhiều người thắc mắc: Liệu chất lượng điều trị của phương pháp niềng răng mắc cài mặt trong như thế nào? Theo các Bác sĩ chuyên sâu về niềng răng nhận định, niềng răng mắc cài mặt lưỡi được đánh giá là phương pháp có tính hiệu quả cao về chất lượng và thẩm mỹ.
Về chất lượng:
Niềng răng mắc cài kim loại mặt trong có cấu tạo từ mắc cài, dây cung và thun cố định sẽ có hiệu quả chỉnh nha tương tự như niềng răng mắc cài kim loại truyền thống. Giúp khắc phục các khiếm khuyết về răng như hô, móm, thưa, lệch lạc từ trung bình, khó đến phức tạp, giúp bạn cải thiện chức năng ăn nhai và sự tự tin khi cười, khi giao tiếp.
Một ca niềng mắc cài kim loại mặt trong thường kéo dài từ 1,5 - 3 năm tùy theo tình trạng răng của từng người. Có thể nói niềng răng mắc cài mặt trong với kỹ thuật “giấu” mắc cài phía sau thân răng nhưng vẫn đảm bảo chất lượng và hiệu quả niềng.
Về thẩm mỹ:
Niềng răng mắc cài mặt trong chiếm ưu thế ở tính thẩm mỹ cao trong suốt quá trình niềng vì mắc cài được gắn phía sau thân răng nên người đối diện sẽ không thể biết được bạn đang đeo niềng.
Đối với một số ngành nghề giao tiếp nhiều, bạn sẽ tự ti khi niềng răng bằng những phương pháp mắc cài truyền thống, nhưng với niềng răng mặt lưỡi bạn không phải lo lắng về điều này. Chính sự khéo léo khi đưa mắc cài vào mặt trong thân răng giúp bạn vừa điều chỉnh hàm răng trở về đúng vị trí trên cung hàm nhưng không ảnh hưởng đến công việc.
Có thể nói niềng răng mắc cài mặt trong là một trong những phương pháp được nhiều khách hàng lựa chọn vì tính thẩm mỹ và chất lượng.
Hiện nay, có nhiều địa chỉ niềng răng uy tín cung cấp dịch vụ niềng răng mắc cài mặt trong để bạn lựa chọn. Up Dental - nha khoa chuyên sâu về niềng răng được Giám đốc Sở Y Tế TP. HCM cấp phép hoạt động phòng khám chuyên khoa số 05047/SYT - GPHĐ, cung cấp các dịch vụ niềng răng trong đó có niềng răng mắc cài mặt trong.
Up Dental - Nha khoa chuyên niềng răng (Giấy phép hoạt động số 05047/SYT - GPHĐ
Địa chỉ: Số 2 đường Võ Oanh, phường 25, quận Bình Thạnh, TP.HCM
Tắm nước lạnh ngay sau khi đi nắng, uống nước đá liên tục hay lạm dụng điều hòa có thể khiến cơ thể đối mặt với hàng loạt nguy cơ về tim mạch, hô hấp, sức đề kháng.
Tổng Bí thư, Chủ tịch nước Tô Lâm và Phu nhân đã đến dâng hoa tại Tượng đài Chủ tịch Hồ Chí Minh trong Vườn hoa ASEAN, thuộc khu thành cổ Intramuros, thủ đô Manila.
Hơn 124.000 thí sinh Hà Nội khép lại kỳ thi vào lớp 10 với nhiều cảm xúc đan xen, từ niềm vui vỡ òa đến những giọt nước mắt tiếc nuối sau môn thi cuối.
Ba Lan trở thành quốc gia mua ròng vàng lớn nhất toàn cầu trong quý I, khi gom thêm hơn 31 tấn vàng, nâng tổng kho dự trữ của quốc gia Đông Âu lên khoảng 582 tấn.
Xiaomi 17T Series tại Thế Giới Di Động thách thức flagship nhờ hệ thống ống kính Leica và nâng cấp toàn diện, mang lại trải nghiệm chạm đỉnh với chi phí tối ưu.
Ngày 28/5, tại Hà Nội, Lễ trao giải Sao Khuê 2026 đã vinh danh 123 nền tảng, dịch vụ, giải pháp hàng đầu về đột phá công nghệ và đậm tính nhân văn cho cuộc sống.
Với nhiều chính sách ưu đãi hấp dẫn như cố định trần lãi suất 0-6%/năm trong 5 năm, chuyển đổi vàng mua nhà tại Ocean City trở thành lựa chọn an cư nhiều gia đình.
(VTC News) - XSMB 31/5, cập nhật kết quả xổ số miền Bắc hôm nay ngày 31/5/2026, KQXSMB chủ nhật, trực tiếp xổ số miền Bắc 31/5, tra cứu kết quả XSMB hôm nay.
Thợ sửa xe khuyến cáo người dùng nên kiểm tra và vệ sinh hệ thống nhiên liệu, bởi cặn bẩn tích tụ trong bình xăng và kim phun có thể gây ra các sự cố vận hành.
Người đàn ông tự nhận thầy dạy lái xe, đi sai làn còn hỏi CSGT "em biết anh không" thừa nhận không phải là giáo viên của bất kỳ cơ sở đào tạo lái xe nào.
Lễ hội Trái cây Nam Bộ lần thứ 22 quy tụ hàng trăm loại trái cây đặc sản cùng chuỗi hoạt động văn hóa, ẩm thực, giải trí đặc sắc, thu hút đông đảo du khách.
Ngoài việc tặng quà Ngày Quốc tế Thiếu nhi, gửi lời chúc 1/6 hay và ý nghĩa cũng là cách nuôi dưỡng tâm hồn trẻ thơ, giúp các em cảm nhận sự trân trọng, yêu thương.