Hậu quả khôn lường khi nắn chỉnh răng không đúng cách

07/10/2015 06:37:00 +07:00

Bệnh nhi bị sưng đau 2 răng cửa giữa vĩnh viễn hàm trên, răng cửa hàm trên bên trái gần như sắp rớt ra ngoài vì chỉnh răng không đúng.

(VTC News) - Bệnh nhi bị sưng đau 2 răng cửa giữa vĩnh viễn hàm trên, răng cửa hàm trên bên trái gần như sắp rớt ra ngoài vì chỉnh răng không đúng.

Khoa Răng hàm mặt, bệnh viện Nhi đồng 1, TP.HCM tiếp nhận một bé gái 7 tuổi ngụ tại quận Hóc Môn.

Bé  bị sưng đau 2 răng cửa giữa vĩnh viễn hàm trên, 2 răng này lung lay nhiều theo chiều dọc và theo chiều ngang, nặng nhất là răng cửa hàm trên bên trái gần như sắp rớt ra ngoài.

Qua thăm khám được biết bé là nạn nhân của việc chỉnh răng sai qui cách, và đây là ca thứ ba khoa Răng-Hàm-Mặt (RHM) tiếp nhận trong vòng 1 năm nay.

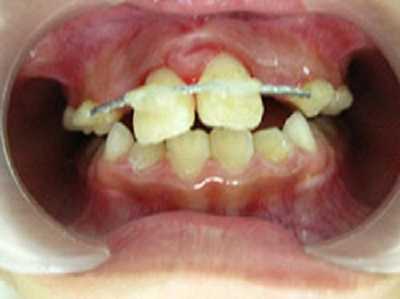
Răng bé được nắn chỉnh lại.
Bé được chỉnh răng phục hồi lại. 
Mẹ bé cho biết cách đây gần 1 tháng, người nhà thấy 2 răng cửa hàm trên mới mọc của bé bị thưa kẽ nên dẫn bé đến phòng nha tư gần nhà để chỉnh răng. Tại đây, bé được choàng  thun vào cổ răng của 2 răng cửa để kéo khít khe hở. Được gần 2 tuần, khe hở có giảm nhưng bé không ăn nhai được, răng đau nhức dữ dội, nướu răng sưng đỏ, sờ chạm dễ chảy máu. Mẹ bé than “đẹp đâu không thấy chỉ thấy răng con tôi đau nhức và sắp rụng”.

Khám lâm sàng cho thấy: gai nướu răng cửa hàm trên sưng đỏ, 2 răng cửa hàm trên bên phải lung lay độ 3, răng cửa hàm trên bên trái lung lay độ 4, cả 2 răng này tụt nướu nhiều, lộ cổ răng 1.3 mm. Chụp phim Xquang thấy tiêu xương nhiều ở vùng cổ răng, răng cửa hàm trên bên trái trồi khỏi ổ răng 1/3 chiều dài chân răng.

Các bác sĩ đã tiến hành gây tê tại chỗ, sau nó nắn chỉnh đưa 2 răng cửa hàm trên về đúng vị trí ban đầu và cố định 2 răng này theo cung răng hàm trên. Sau 1 tuần, răng bé bớt lung lay nhiều và bé có thể ăn uống bình thường.

Sau 2 tuần, răng bé cứng chắc hoàn toàn, nướu răng hồng hào và hết sưng đỏ. Tuy nhiên, phần cổ răng vẫn còn bị lộ ra do dây chằng nha chu bị đứt không phục hồi được nên nhìn răng bé vẫn hơi dài so với bình thường.

 Lý giải về vấn đề này, BS chuyên khoa 2 Nguyễn Văn Đẩu, Trưởng khoa RHM cho biết: Ở trẻ em, khi bé khoảng 7 đến 8 tuổi, bé sẽ mọc 2 răng cửa vĩnh viễn đầu tiên.

Và thông thường có thể xuất hiện khe hở sinh lý giữa 2 răng này, khoảng rộng của khe này sẽ giảm dần khi bé mọc tiếp 2 răng cửa bên lúc 9 tuổi, và đặc biệt khe này sẽ tự đóng kín khi bé mọc 2 răng nanh vĩnh viễn vào lúc 11 đến 12 tuổi.

Trong một số ít trường hợp bệnh lý, khe hở này có thể không tự đóng được do một số nguyên nhân như: có một răng dư nằm chen vào giữa 2 răng cửa,  bé có thắng môi trên dầy và bám thấp xen vào giữa hai răng, do răng bé có kích thước nhỏ so vói kích thước xương hàm...,

Tùy từng trường hợp mà sẽ có cách xử trí khác nhau. Do vậy, cần khẳng định rằng, trong điều kiện thông thường, việc kéo để đóng kín khe hở cho bé gái 7 tuổi  như trên là không cần thiết.

Về kỹ thuật chỉnh nha, giả sử cần kéo khít hai răng này, ta phải sử dụng thiết bị chuyên dụng là khâu hoặc mắc cài được dán dính chặt vào thân răng, một dây cung kim loại và thun kéo khít răng được gắn gián tiếp trên các khâu và mắc cài này để  tạo lực di chuyển răng có hướng dẫn, đồng thời bảo vệ được  cấu trúc của mô nha chu răng. Công việc này phải được thực hiện bởi các bác sĩ RHM đã có kinh nghiệm qua đào tạo về chuyên khoa chỉnh nha.

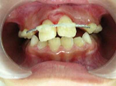
Răng bé khi chưa được nắn chỉnh đúng phương pháp.
Răng bé khi chưa được nắn chỉnh đúng phương pháp. 
Nguyên nhân xảy ra hậu quả trên là do bé đã bị điều trị chỉnh răng sai phương pháp. Lý do thứ nhất là dùng thun cột 2 răng cửa với lực quá mạnh sẽ làm tiêu xương theo hướng lực kéo, phần khoảng trống còn lại không kịp tạo xương để bù đắp nên làm cho răng lung lay và đau nhức nhiều.

Lý do thứ hai là do hình dạng răng thon nhỏ về phía cổ răng nên thun cột có khuynh hướng co trượt về phía cổ răng gây đứt dây chằng nha chu, gây tiêu xương quanh cổ răng và làm răng trồi về phía mặt nhai. Nếu để muộn hơn, hai răng của bé sẽ tự văng ra khỏi xương hàm, bé sẽ vĩnh viễn mất hai răng này.

Các bậc phụ huynh nên lưu ý, khi phát hiện bé nhà mình có khe hở răng giống trường hợp trên nên đưa bé đến khám tại các bệnh viện có chuyên khoa RHM, để được khám, tư vấn, chụp phim Xquang.

Qua đó, các bác sĩ sẽ đánh giá khe hở là sinh lý hay bất thường để lên kế hoạch điều trị đúng phương pháp, tránh cho con em mình phải lâm vào cảnh tiền mất tật mang.

» Giật mình quý bà có hàm răng ma cà rồng
» Bí quyết răng khỏe mỗi ngày
» Điều ít biết về bệnh lây qua bàn chải đánh răng
» Những thứ không ngờ làm hại răng
» Ăn gì để răng chắc khỏe, sáng bóng tự nhiên?

Bs Đinh Thị Như Thảo - Khoa RHM

Bình luận
vtcnews.vn