Khoa ung bướu - Bệnh viện Đa khoa Hùng Vương (Phú Thọ) vừa tiếp nhận bệnh nhân nữ H.T.D., 49 tuổi, dân tộc H’ Mông, trú tại Tuyên Quang vào viện trong tình trạng vỡ loét đầu vú và phù tay do điều trị ung thư sai phương pháp.
Bà D. cho biết, khoảng 1 năm trước bà phát hiện u vú phải nhưng không đến viện điều trị mà ở nhà đắp thuốc nam trong 6 tháng.
Do điều trị sai cách nên khối u vú của bà phát triển to hơn, da gần núm vú vỡ loét, chảy dịch máu, cánh tay phải ngày càng lớn, phù tím, có chỗ nổi bọng nước. Bệnh khiến bà đau nhiều, không thể làm việc, đi lại, ăn uống ngày càng kém đi, gầy và sút cân.

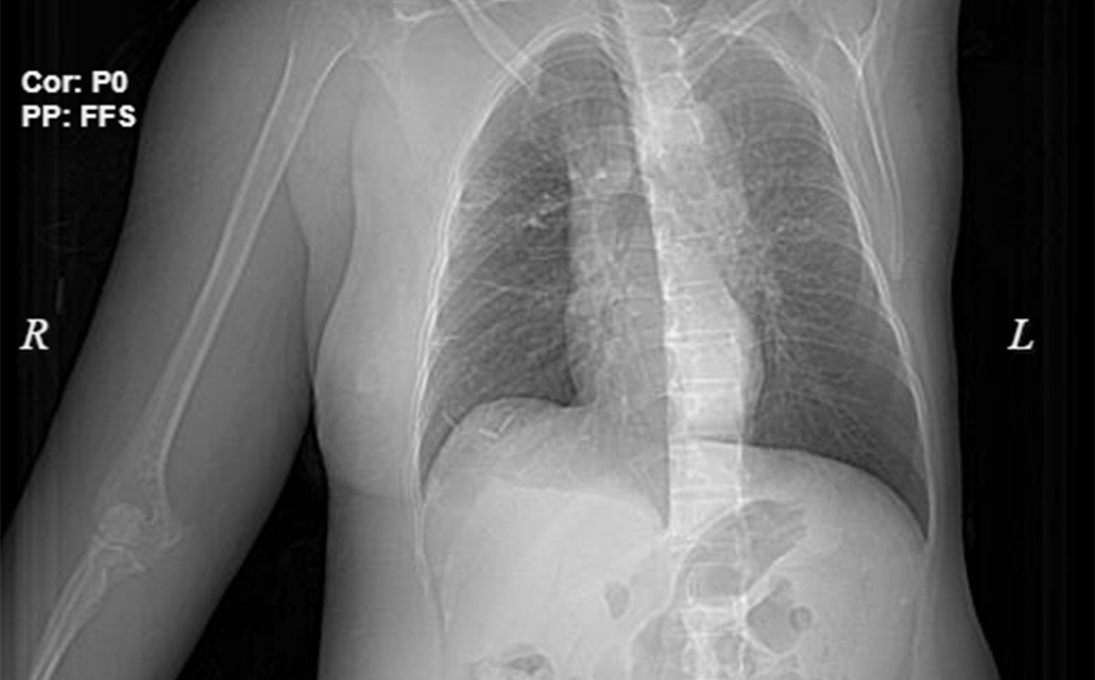
Hình ảnh phim chụp ngực phải của bệnh nhân sưng to do điều trị ung thư vú sai cách.
Theo BS Hứa Văn Đức - Trưởng khoa Ung bướu, Bệnh viện Đa khoa Hùng Vương, sau khi thăm khám và làm các xét nghiệm, bệnh nhân được chẩn đoán ung thư vú giai đoạn cuối, khối u di căn hạch nách và xương cánh tay phải, vùng đắp thuốc nam bị nhiễm trùng có nguy cơ hoại tử, nhiễm khuẩn huyết.
“Bệnh nhân đến viện khi đã ở giai đoạn muộn, khối u không còn khả năng phẫu thuật. Chúng tôi đã chỉ định cho người bệnh dùng kháng sinh kiểm soát tình trạng nhiễm trùng, giảm đau, điều trị hóa chất 1 chu kỳ. Hiện tại, tình trạng bệnh có thuyên giảm, chúng tôi đã cho bệnh nhân ra viện điều trị tại nhà. Dự kiến, thời gian tới sẽ truyền tiếp chu kỳ hóa chất thứ 2 cho bệnh nhân”, BS Đức nói.
Chuyên gia này cũng cảnh báo, hiện nay chưa có bằng chứng về hiệu quả điều trị của thuốc nam trong ung thư. Tuy nhiên, có không ít những bệnh nhân tin vào lời quảng cáo, chia sẻ trên mạng xã hội về việc dùng thuốc nam trong điều trị ung thư.
Hậu quả là bệnh nhân bị bỏ lỡ giai đoạn đầu trong điều trị, ung thư chuyển sang giai đoạn muộn hơn, khiến việc chữa trị gặp rất nhiều khó khăn.
BS Đức khuyến cáo người dân, khi phát hiện thấy dấu hiệu bất thường cảnh báo nguy cơ ung thư cần đến cơ sở y tế nơi gần nhất để được thăm khám và điều trị kịp thời, tránh biến chứng nguy hiểm có thể xảy ra.


















Bình luận