Ngày 21/8, Bệnh viện Hữu nghị đa khoa Nghệ An cho biết, các bác sĩ ở đây vừa phẫu thuật cứu sống một bệnh nhân thủng tim, lấy ra một đầu đạn dài 3cm, đường kính 1cm.
Khoảng 15h21 ngày 19/8, bệnh nhân Ng.Th.T. (26 tuổi, trú tại huyện Diễn Châu) nhập viện trong tình trạng khó thở, mất máu, huyết áp thấp, có một lỗ thủng 1cm ở ngực trái. Người nhà cho biết, anh T. đang đốt rác thì có tiếng nổ, mọi người chạy ra thì thấy anh nằm gục trên nền đất.

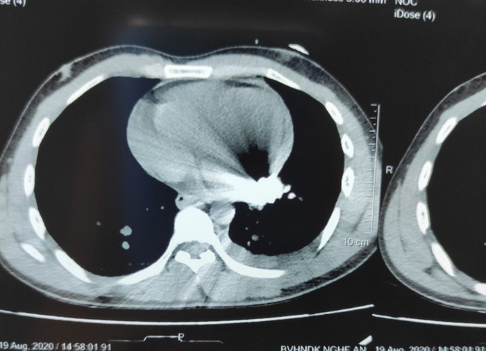
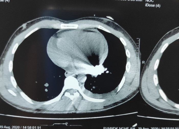
Hình ảnh chụp cắt lớp cho thất dị vật kim khí nằm trong tim bệnh nhân.
Ngay lập tức, nạn nhân được đưa đến Bệnh viện đa khoa huyện Diễn Châu để cấp cứu, sau đó được chuyển vào Bệnh viện Hữu nghị đa khoa Nghệ An.
Tiến hành siêu âm, các bác sĩ phát hiện tràn dịch màng tim, dịch màng phổi trái. Chụp cắt lớp vi tính, họ phát hiện thêm dị vật kim khí nằm trong màng ngoài tim ở thành sau tâm thất trái.
Sau cuộc hội chẩn cấp tốc giữa các khoa liên quan, bệnh nhân T. được chỉ định phẫu thuật cấp cứu để xử lý thương tổn và lấy dị vật ra khỏi tim. Họ lấy ra một đầu đạn dài 3 cm, đường kính gần 1 cm.
Ca phẫu thuật kéo dài 1 giờ 30 phút thành công, bệnh nhân được cứu sống trong gang tấc. Đến 15h ngày 20/8, bệnh nhân tỉnh táo, được rút máy thở. Hiện tình trạng bệnh nhân được cải thiện nhiều.














Bình luận