Anh T. là người dân tộc Thái, đi làm thuê tại xưởng cơ khí tư nhân tại Bắc Ninh.
Trong quá trình làm việc, anh bị thanh sắt bắn vào chính giữa vùng cổ, máu chảy nhiều, đau đớn. Sau khi được hồi sức, sơ cứu tại Bệnh viện tỉnh Bắc Ninh, anh T. được chuyển thẳng đến Bệnh viện Hữu nghị Việt Đức lúc 23h ngày 2/3.

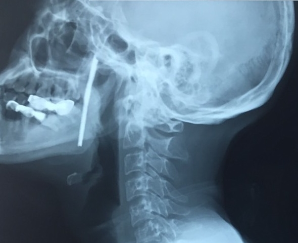
Hình ảnh phim chụp X-quang của bệnh nhân.
TS. BS Vũ Ngọc Tú - Trung tâm Phẫu thuật Tim mạch và Lồng ngực, Bệnh viện Hữu nghị Việt Đức cho biết, người bệnh được chẩn đoán vết thương phức tạp vùng cổ, do dị vật kim loại dài, xiên từ hầu họng vào trong miệng. Đây là vùng có rất nhiều cơ quan hệ trọng của cơ thể như đường thở (khí quản), đường ăn (thực quản), các mạch máu nuôi não (động mạch cảnh) ...
"Rất may thanh sắt chưa trực tiếp gây tổn thương các thành phần này, nhưng lại nằm sát cạnh tất cả các cấu trúc đó. Vì thế, bài toán rất nan giải đặt ra là phải lấy bằng được dị vật đó ra nhưng phải đảm bảo an toàn tuyệt đối các thành phần, cấu trúc, giúp đảm bảo tính mạng người bệnh và xa hơn nữa là giữ được chức năng cơ thể", BS Tú nói.
Sau phẫu thuật, bệnh nhân phục hồi nhanh chóng, không có bất kỳ biến chứng gì. Hiện người bệnh có thể nói và ăn uống được bình thường, chờ ngày xuất viện.
















Bình luận