Công nghệ bọc răng sứ Xsmile là gì?
Công nghệ bọc răng sứ Xsmile là một kỹ thuật tiên tiến trong lĩnh vực nha khoa, tập trung vào việc cải thiện vẻ ngoại hình của răng một cách tối ưu mà không yêu cầu quá trình mài nhỏ nhiều. Điểm đặc biệt của kỹ thuật này là việc áp dụng lớp mặt sứ siêu mỏng, chỉ khoảng 0.5mm, với hình dáng và màu sắc đặc biệt tương tự như răng thật. Quá trình này giúp khắc phục các khuyết điểm, đồng thời mang đến diện mạo mới cho hàm răng một cách tự nhiên.

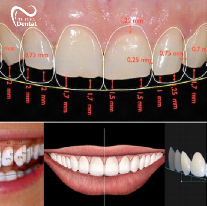
Công nghệ Xsmile tại nha khoa Thiên Hà.
Trong quá trình bọc răng sứ, bác sĩ chỉ cần chà nhám mặt ngoài của răng một cách nhẹ nhàng, đủ để loại bỏ vi khuẩn và mảng bám, đồng thời tạo ra bề mặt dính cho mặt sứ. Kỹ thuật này không chỉ giữ cho răng tự nhiên được bảo tồn tối đa mà còn không ảnh hưởng đến mô răng và tủy răng bên trong. Điều quan trọng là, không gây ra tình trạng ê buốt hay đau nhức đối với những người có răng nhạy cảm.
Những ưu điểm vượt trội của công nghệ Xsmile
Với khả năng tối ưu hóa vẻ tự nhiên của hàm răng mà không yêu cầu quá trình mài nhỏ truyền thống, Xsmile không chỉ là một lựa chọn hiện đại mà còn mang đến những ưu điểm độc đáo, làm hài lòng những người đang tìm kiếm giải pháp thẩm mỹ hiệu quả và không gây ảnh hưởng lớn đến sức khỏe răng.
Làm giảm cảm giác đau đớn và tê buốt
Nhờ vào ưu điểm không cần mài răng quá nhiều, công nghệ Xsmile không ảnh hưởng đến tủy răng, giúp làm giảm cảm giác ê buốt và đau đớn. Điều này không chỉ mang lại trải nghiệm thoải mái và dễ chịu cho khách hàng mà còn làm tăng tuổi thọ của răng tương đối lâu.
Thiết kế dáng răng độc bản, cá nhân hóa theo từng khách hàng
Xsmile được tích hợp từ công nghệ thiết kế nụ cười DSD hiện đại cho phép thiết kế dáng răng độc bản theo chuẩn tỉ lệ vàng khuôn mặt, cá nhân hóa theo từng khách hàng dựa trên sự phân tích tổng quan giữa răng miệng với toàn bộ khuôn hàm theo kỹ thuật số. Khi thực hiện công nghệ bọc răng sứ Xsmile bạn sẽ nhận được những giá trị tuyệt vời nhất của giải pháp hiện đại số 1 hiện nay:
- Sở hữu nụ cười đạt chuẩn.
- Hàm răng trắng đẹp, sáng bóng, chuẩn kích cỡ, hài hòa, tự nhiên.
- Được lựa chọn trước cho mình nụ cười ưng ý nhất.
- Được trải nghiệm nụ cười mới trước khi thực hiện.
- Khắc phục được những khiếm khuyết và bệnh lý răng miệng.

Được trải nghiệm nụ cười mới trước khi làm.
Đảm bảo an toàn cho răng thật
Việc thực hiện bọc răng sứ bằng công nghệ Xsmile không đòi hỏi quá trình mài răng, không ảnh hưởng đến cấu trúc tự nhiên của răng. Răng gốc cũng không phải trải qua quá trình mài động lực nhiều, do đó chúng vẫn duy trì sức khỏe và tính nguyên vẹn, giúp bạn thoải mái khi ăn uống mà không lo lắng về việc răng sẽ suy giảm chất lượng.
Mặt sứ mỏng và đẹp mắt, màu sứ tự nhiên
Lớp sứ 0,3 - 0,5mm được gắn kết một cách siêu mỏng trên bề mặt răng, tạo nên cảm nhận thanh thoát và tự nhiên gần gũi như răng tự nhiên. Đối với những người có vấn đề về răng thưa hoặc hở kẽ răng lớn, sau khi áp dụng bọc răng sứ, tình trạng này sẽ được cải thiện, giúp hàm răng trở nên đồng đều và tinh tế hơn.

Răng sứ mỏng nhẹ, có màu sắc trắng sáng.
Quy trình bọc răng sứ bằng công nghệ Xsmile
Bước 1: Thăm khám và tư vấn
Khách hàng sẽ được thăm khám tổng quát sức khỏe răng miệng, tư vấn phương pháp điều trị phù hợp với từng người.
Bước 2: Chụp phim và lên phác đồ điều trị
Chụp X-quang cung hàm giúp cho bác sĩ biết được tình trạng của các chân răng, xác định được vị trí của các răng. Từ đó đưa ra phác đồ điều trị tốt nhất.
Bước 3: Kiến tạo thiết kế nụ cười
Để có được nụ cười toàn diện nhất, Nha khoa Thiên Hà ứng dụng phần mềm Smile Design - công nghệ mới nhất để thiết kế nụ cười hoàn hảo.
Bước 4: Lắp răng sứ
Bác sĩ sẽ tiến hành gắn thử răng sứ, nếu đảm bảo mọi tiêu chí về thẩm mỹ và khớp cắn sẽ tiến hành gắn cố định bằng chất kết dính chuyên biệt của nha khoa.
Bước 5: Tái khám răng miệng định kỳ
Khách hàng tái khám răng miệng 6 tháng/lần để bác sĩ kiểm tra tình trạng răng miệng hiện tại.
Công nghệ Xsmile tại Nha khoa Thiên Hà giúp bảo toàn tính nguyên vẹn của răng gốc, đặc biệt giảm bớt sự đau đớn khi bọc răng sứ. Công nghệ này không chỉ là một lựa chọn tuyệt vời mà còn là cầu nối giữa thẩm mỹ và sức khỏe nha khoa. Khách hàng hãy nhanh chóng đến với Thiên Hà để sớm sở hữu nụ cười rạng ngời.
Nha khoa Thiên Hà
Hotline: 092 376 88 83
Thời gian làm việc: 8h-20h, Thứ Hai đến Chủ nhật - Không nghỉ trưa
Cơ sở : 176 Trần Duy Hưng, Cầu Giấy, Hà Nội.












Bình luận