Thông tin từ Bệnh viện Nhi Đồng 2 cho biết, bệnh viện tiếp nhận bé trai Võ Nguyễn M.K 13 tuổi, ở xã Bình Khánh, huyện Cần Giờ nhập viện do bị đuối nước.
Theo gia đình bệnh nhân, khi đang ngồi trên ghe cùng với cha, do mất thăng bằng nên K. ngã xuống nước khu vực nhiều bùn và không ngoi lên được. Lúc K. được cha vớt lên thì em ngưng thở và tím toàn thân. Người cha dốc dức hà hơi thổi ngạt cấp cứu cho con, được 5 phút thì em tỉnh, tuy nhiên còn tím và khó thở.
Ngay sau đó, K. được đưa đến Bệnh viện Huyện Cần Giờ cấp cứu. Tại đây, bệnh nhân được hỗ trợ thở oxy và chuyển ngay đến Bệnh viện Nhi Đồng 2. Thời gian từ lúc K ngã xuống bị ngạt nước đến khi tới Bệnh viện Nhi đồng 2 là 4 tiếng đồng hồ.

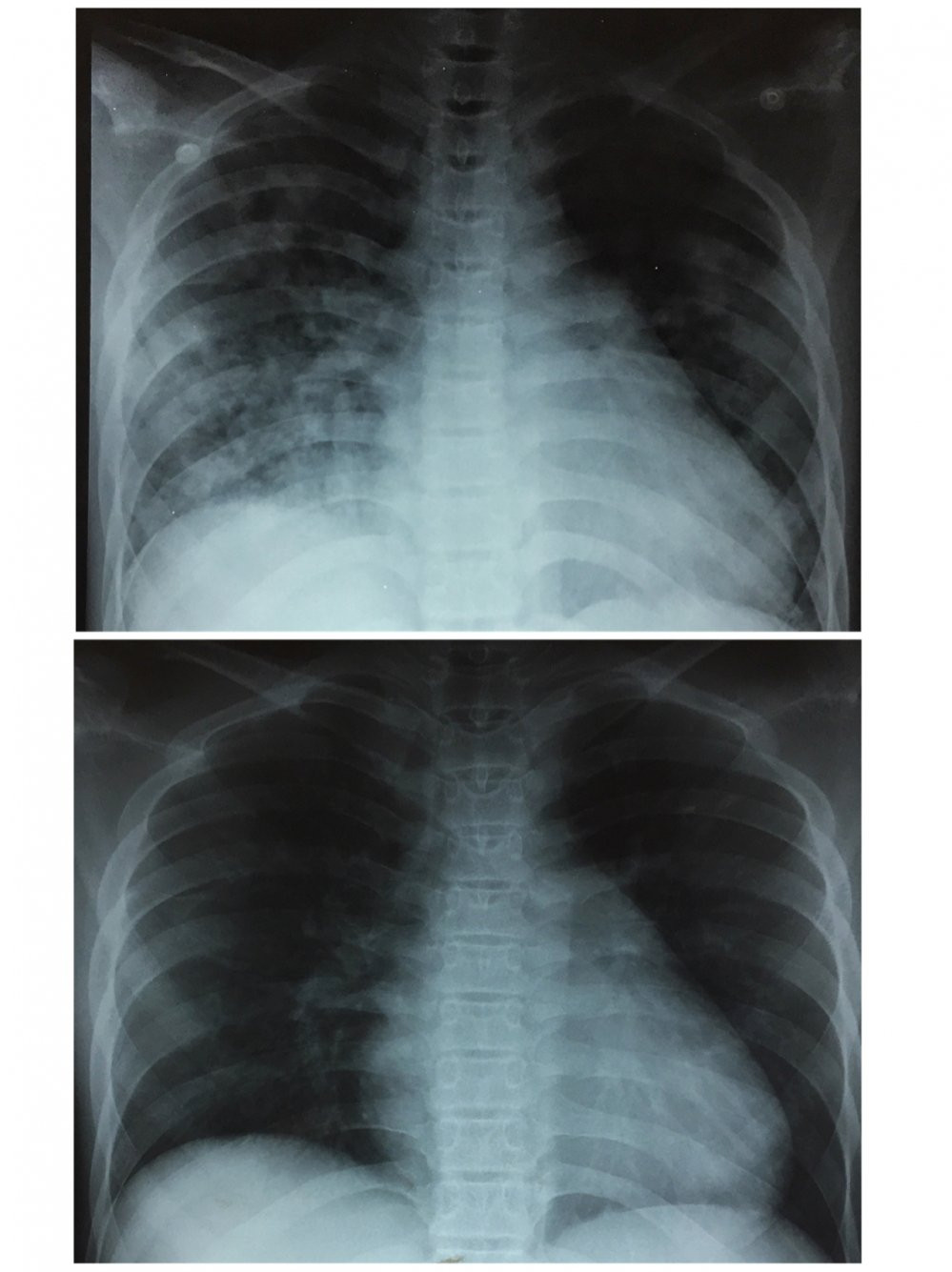
Hình ảnh chụp X-Quang phổi khi bệnh nhân vừa nhập viện khoa Cấp cứu và hình X-Quang phổi cải thiện tốt sau 3 ngày điều trị.
Ths. Bs Nguyễn Đình Qui cho biết, sau khi nhập viện, bệnh nhân còn thở mệt, tím nhẹ và vẫn phải hỗ trợ hô hấp bằng thiết bị thở áp lực dương liên tục qua mũi cũng như tiêm kháng sinh mạnh để điều trị viêm phổi hít do sặc nước mặn.
Sau 22 giờ điều trị tại khoa Cấp cứu, bệnh nhân tỉnh táo, hồng hào, thở tốt hơn nhưng vẫn cần hỗ trợ thở bằng áp lực dương liên tục qua mũi. Bệnh nhân được chuyển vào Khoa Hô Hấp 1 để tiếp tục điều trị.
Tại khoa Hô hấp 1, bệnh nhân cải thiện nhanh chóng các vấn đề suy hô hấp, có thể ngưng thở bằng áp lực dương liên tục qua mũi và chuyển sang thở nhẹ nhàng bằng dây oxy râu.
Sau 3 ngày điều trị, hiện tại bệnh nhân đã có thể tự thở bằng khí trời, tỉnh táo, sinh hoạt gần như bình thường, bệnh nhân chỉ còn phải tiêm kháng sinh theo phác đồ để chữa viêm phổi.
Ths. Bs Nguyễn Đình Qui cho biết, đây là 1 trường hợp ngạt nước mặn đáp ứng tốt với điều trị, bên cạnh việc áp dụng các biện pháp hỗ trợ hô hấp, điều trị kịp thời, cấp cứu ban đầu rất quan trọng. Chính thao tác hà hơi thổi ngạt thật tốt của người cha đã tiếp thêm cơ hội sống cho con mình.
Video: Thực hư quảng cáo bột than tre chữa được ung thư, trĩ








Bình luận