Bởi ung thư trước đến nay luôn đồng nghĩa với “án tử“ thì việc một cơ sở y tế công bố chữa thành công khối u là tín hiệu vui cho nhiều người.
Để tìm hiểu rõ ngọn nguồn thực hư của sự việc, phóng viên đã liên hệ với người đăng thông tin trên lên Facebook là bác sĩ Trần Xuân Vĩnh, Phó giám đốc Trung tâm ung bướu, Bệnh viện Đa khoa tỉnh Phú Thọ về vấn đề này.
- Thưa bác sĩ Trần Xuân Vĩnh, chắc hẳn anh cũng biết hai ngày nay trang Facebook của anh “nóng” hẳn lên về thông tin anh chia sẻ khi điều trị thành công trường hợp ung thư phổi giai đoạn cuối, anh có muốn nói gì điều này không?
Đúng là chúng tôi đã có bước đầu thành công khi chữa cho một số người bệnh ung thư, trong đó có một bệnh nhân ung thư phổi đạt được đáp ứng rất tốt. Người bệnh Đàm Thị H. được chẩn đoán ung thư phổi từ năm 2015, đã được điều trị nhiều lần bằng nhiều phương pháp như hóa trị, nhắm đích sinh học tại một số bệnh viện.
Tháng 1/2018 bệnh của chị H. xấu đi, chị bắt đầu khó thở, đau xương do ung thư di căn vào xương. Chị phải giảm đau bằng morphin và fentanyl (một thuốc giảm đau nhóm opioid mạnh).
Tháng 3/2018 khi biết Bệnh viện đa khoa tỉnh Phú Thọ triển khai IBM Watson for Oncology (Ứng dụng trí tuệ nhân tạo trong hỗ trợ lựa chọn phác đồ điều trị ung thư dựa trên bằng chứng), gia đình đã đưa chị đến đây. Khi đó, tình trạng của chị H. rất xấu, đau rất nhiều, chị đi lại rất khó khăn do ung thư di căn vào xương cột sống và xương chậu, khó thở khi hoạt động do ung thư lan tràn khắp 2 phổi.
Tại đây, các bác sỹ đã hội chẩn với sự hỗ trợ từ IBM Watson for Oncology. Phác đồ điều trị do hệ thống Trí tuệ nhân tạo Watson đưa ra có sự thống nhất cao với hội đồng chuyên môn. Chị H. được quyết định điều trị với một thuốc điều trị trúng đích sinh học thế hệ 3 mới nhất, cùng chỉ định xạ trị giảm triệu chứng vào vị trí di căn xương. Và thật kỳ diệu, sau 1 tháng điều trị, chị H. hoàn toàn có thể đi lại bình thường, không phải sử dụng thuốc giảm đau, và phim chụp phổi của chị đạt được sự đáp ứng rất tốt, các khối u đã gần như biến mất.

Bác sỹ Trần Xuân Vĩnh – PGĐ Trung tâm ung bướu BV ĐK tỉnh Phú Thọ
- Theo như anh nói thì Bệnh viện đã tham khảo phác đồ điều trị từ hệ thống IBM Watson for Oncology (IBM Watson for Oncology - Ứng dụng trí tuệ nhân tạo trong hỗ trợ điều trị ung thư dựa trên bằng chứng). Như vậy, vai trò của hệ thống này ở đây là gì?
IBM Watson for Oncology là một hệ thống điện toán biết nhận thức (trí tuệ nhân tạo) hỗ trợ điều trị ung thư được phát triển bởi Tập đoàn IBM và được đào tạo, chịu trách nhiệm chuyên môn bởi Memorial Sloan Kettering Cancer Centerlà một Trung tâm điều trị ung thư hàng đầu của Hoa Kỳ, với nền tảng là hàng chục triệu hồ sơ bệnh án, hàng nghìn đầu sách y học, hơn 200.000 nghiên cứu y học, được cập nhật thường xuyên.
Trong thời gian vừa qua, chúng tôi rất may mắn khi được tiếp cận với hệ thống này, trong quá trình sử dụng chúng tôi nhận thấy hệ thống giúp ích rất nhiều cho công việc của bác sỹ. Hệ thống đưa ra các khuyến nghị điều trị rất phù hợp với từng trường hợp bệnh, và quan trọng là đưa ra các bằng chứng là các nghiên cứu rất có giá trị. Giúp các bác sỹ lựa chọn được phác đồ điều trị phù hợp nhất cho người bệnh, còn phía người bệnh cũng củng cố niềm tin vào phác đồ điều trị của mình. Ngoài ra, qua sử dụng hệ thống các bác sỹ cũng cập nhật được kiến thức cho mình thông qua các bằng chứng y khoa.
Cụ thể trong trường hợp của người bệnh Đàm Thị H., khi chúng tôi đưa các thông tin về bệnh của chị lên hệ thống, chúng tôi nhận được các khuyến nghị điều trị là thuốc điều trị trúng đích sinh học nhắm vào đột biến gene EGFR, sau khi thảo luận và căn cứ vào các bằng chứng mà hệ thống đưa ra, các nghiên cứu đã công bố trên thế giới chúng tôi đã quyết định lựa chọn một thuốc trúng đích sinh học thế hệ thứ 3 cho người bệnh phối hợp với các phương pháp xạ trị kiểm soát tại chỗ. Và rất vui mừng sau hơn một tháng điều trị người bệnh đã đạt được các đáp ứng rất tốt như những gì tôi đã chia sẻ trên trang cá nhân.
- Có nghĩa là IBM Watson for Oncology không phải là phương pháp chữa ung thư, không phải là một phác đồ để điều trị ung thư như mọi người đang lầm tưởng? Vậy, IBM Watson for Oncology được hiểu một cách chính xác nhất là thế nào, xin bác sĩ có thể chỉ rõ?
Có thể hiểu, IBM Watson for Oncology như là một công cụ rất hữu ích cho bác sỹ bởi vì bằng việc sử dụng công cụ này. Chúng tôi đã tự tin hơn trong việc đưa ra các kế hoạch điều trị cho bệnh nhân, cũng như có cơ hội tiếp cận với những phương pháp, kiến thức tiên tiến nhất.
Tiết kiệm được khá nhiều thời gian trong việc tìm hiểu, tra cứu các kiến thức trong điều trị ung thư; các phác đồ điều trị được hệ thống đưa ra đều bám sát để phù hợp với từng người bệnh; đồng thời mỗi một phác đồ hệ thống đưa ra đều kèm theo những bằng chứng cụ thể nên khi tư vấn cho bệnh nhân và người nhà; họ cũng có thêm niềm tin vào phác đồ của mình.
Đặc biệt khi họ được biết hệ thống này đã có ở trên 80 bệnh viện tại 13 quốc gia trên thế giới từ các nước phát triển như Mỹ cho đến các nước trong khu vực như Hàn Quốc, Thái Lan, Trung Quốc...

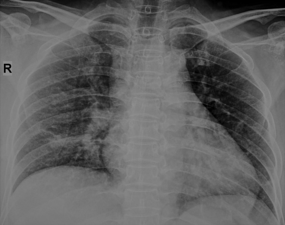
Phổi trước khi được điều trị

Phổi sau khi điều trị
- Như vậy thì người đọc sẽ rất dễ nghĩ chị H. được chữa bệnh khỏi nhờ IBM Watson for Oncology?
IBM Watson for Oncology là yếu tố rất quan trọng trong cả một hành trình điều trị cho chị H. Để có được những chuyển biến tích cực như vậy, phác đồ điều trị là điều rất quan trọng, tuy nhiên còn có các yếu tố khác tác động đến như là thuốc, tâm lý, chế độ dinh dưỡng, nghị lực người bệnh... Như tôi đã nói ở hai câu trả lời trên.
Và xin nhắc lại một lần nữa, hệ thống hỗ trợ có tiến bộ đến đâu cũng sẽ không thể thay thế được vai trò của người thầy thuốc, vai trò của người chăm sóc, của người nhà trong việc điều trị cho người bệnh.
- Sau thông tin của anh, có rất nhiều người nhà bệnh nhân muốn đến Bệnh viện Đa khoa Phú Thọ để được “thực hành” cùng IBM Watson for Oncology, anh có lời khuyên hay chia sẻ gì với họ?

Bệnh nhân được bác sỹ tư vấn ứng dụng IBM Watson for Oncology tại BVĐK tỉnh Phú Thọ
Hệ thống IBM Watson for Oncology đã được áp dụng tại Bệnh viện Đa khoa tỉnh Phú Thọ từ đầu tháng 2/2018. Chúng tôi là Bệnh viện đầu tiên tại Việt Nam triển khai hệ thống này. Hàng ngày Trung tâm Ung bướu tiếp nhận rất nhiều các cuộc gọi hỏi thông tin về hệ thống cũng như có những bệnh nhân và người nhà đã tới tận nơi để tìm hiểu.
Nếu các bạn độc giả cũng như bệnh nhân quan tâm, chúng tôi sẵn sàng hỗ trợ giải đáp mọi thông tin qua số tổng đài của bệnh viện là 0210 627 6666 hoặc số điện thoại cá nhân của tôi 0942 906 288.
Hiện nay, có rất nhiều trang thông tin đã đăng chia sẻ của tôi; tuy nhiên để có những thông tin chính xác nhất thì các bạn vui lòng liên hệ lại Bệnh viện hoặc cá nhân tôi để được biết cụ thể; tránh việc thổi phồng thông tin dẫn tới sai lệch; điều này đặc biệt cần tránh trong lĩnh vực ung thư nói riêng và lĩnh vực khám chữa bệnh nói chung.
Điện thoại hiện nay của tôi tiếp nhận hàng ngày cả trăm cuộc gọi, nếu như tôi chưa trả lời kịp thì các độc giả có thể để lại tin nhắn hoặc email; tôi và các y bác sỹ của Trung tâm ung bướu sẽ thu xếp trả lời sớm.
- Trân trọng cảm ơn anh về buổi trò chuyện rất thẳng thắn và trách nhiệm! Xin chúc anh và Bệnh viện Đa khoa Phú Thọ ngày càng có những thành công trong sự nghiệp chăm sóc sức khỏe nhân dân nói chung và điều trị ung thư nói riêng.














Bình luận