Người xưa có câu nói nổi tiếng: "Đau răng không phải là bệnh, nhưng nếu đau thì như sắp mất mệnh (chết)". Điều này chỉ có những người từng trải qua đau răng mới biết được cảm giác đau đớn nhiều như thế nào, bỏ ăn bỏ uống nhưng vẫn không thể khỏi được nhanh chóng.

Một thực tế rằng, nhiều người coi nhẹ vấn đề răng miệng, thực tế thì đau răng cũng là một loại bệnh, có mức độ nặng nhẹ khác nhau. Nếu trong trường hợp nhẹ, đau ít ngày rồi lại hết. Nhưng có những trường hợp bị nặng, thì mức đau sẽ tăng dần đều, và đến khi vượt ngưỡng chịu đựng của bạn, là lúc hậu quả lớn xuất hiện. Bệnh nhẹ mà để lâu sẽ tích tụ thành bệnh nặng. Nghiêm trọng lúc nào không hay.
Trường hợp sau đây là một ví dụ giúp bạn rút kinh nghiệm trước khi quá muộn. Một nam thanh niên (giấu tên) 31 tuổi ở Vũ Hán, Trung Quốc, hàng ngày có sở thích ăn đồ ngọt, uống nước ngọt. Vì sở thích khó bỏ này mà hàm răng của anh đã hỏng đi mấy chiếc, lại kèm thêm chứng đau nhức âm ỉ.
Khoảng nửa năm trước, khi chứng đau răng bắt đầu xuất hiện nhưng vì ở mức nhẹ nên anh vẫn cố gắng chịu đựng. Nhưng trong vòng 3 tháng trở lại đây, nướu răng bắt đầu có triệu chứng sưng đau nhiều hơn, khiến anh không chịu được nữa phải vào viện khám.
Hơn thế nữa, vùng nướu bên trái sưng to và mưng mủ, mủ lây sang cả vòm trong má, loét cục bộ vùng khoang miệng. Nhập viện và điều trị tại khoa Răng Hàm Mặt bệnh viện Vũ Hán (TQ), bác sĩ kiểm tra phát hiện vùng xương hàm bên trái của bệnh nhân đã bị hỏng nghiêm trọng.
Phần tủy xương của xương quai hàm cũng bị viêm và gần như hoại tử vùng hàm trái chứ không chỉ riêng phần răng bị hỏng.

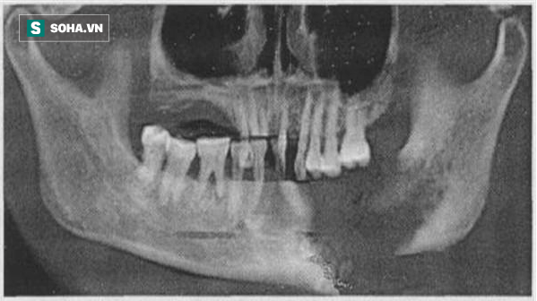
Hình ảnh chụp hàm răng của nam thanh niên khiến anh vô cùng tiếc nuối và sợ hãi.
Răng là bệnh nhỏ, nhưng để lâu sẽ thành bệnh lớn
Theo các bác sĩ, vấn đề của nam bệnh nhân này đã để kéo dài tình trạng sưng viêm quá lâu, hiện cần phải kiểm soát nhiễm trùng trước khi tìm phương án điều trị phù hợp. Trong ngắn hạn, buộc phải nhổ bỏ những chiếc răng đã hỏng không thể sửa chữa, sau đó tiến hoành khoét sửa vùng xương hàm bị hỏng tủy để khôi phục trong khả năng ít tổn thương nhất có thể.
Sau phẫu thuật, hàm dưới bên trái của bệnh nhân trở nên yếu hơn. Vì vậy được chỉ định là cần phải bảo vệ hàm một cách tối đa, tránh những va đập mạnh có thể sẽ gây gãy xương.
Nam thanh niên chia sẻ đầy hối tiếc: "Tôi không nghĩ vấn đề đau răng lại bị kéo đến mức độ nguy hiểm lớn như vậy".

Hàm răng của nam thanh niên đã bị viêm tủy xương, phải diệt tủy điều trị, phòng tránh va đập hàm suốt đời.
Bác sĩ trực tiếp điều trị cho anh tại Khoa răng hàm mặt, bệnh viện Vũ Hán nhấn mạnh, có không ít người cho rằng đau răng chỉ là vấn đề xảy ra tạm thời, chịu đau trong chốc lát rồi nó sẽ qua. Hoặc nhiều người khi đau răng sẽ tự đi mua một ít thuốc giảm đau về uống, trì hoãn việc điều trị lần này qua lần khác.
Cho đến khi đa số họ chịu đau không nổi, xuất hiện các triệu chứng sưng viêm nặng nề mới bắt đầu nghĩ đến việc đi khám. Lúc này thì đã quá muộn rồi, đa số đều phải nhổ bỏ răng hoặc điều trị khó khăn.
Bác sĩ nói thêm, nguy hiểm hơn nữa là thuốc giảm đau không phải là thứ có thể mua uống tùy tiện, đặc biệt trong vấn đề đau răng, không nên tự mua thuốc giảm đau hoặc thuốc sưng viêm để uống khi chưa biết rõ nguyên nhân của bệnh.
Video: Được bác sỹ răng hàm mặt phẫu thuật nâng ngực, thai phụ 22 tuổi chết thảm
Ngoài ra, khi xuất hiện các triệu chứng đau răng, vấn đề không chỉ là đau răng miệng, mà còn có thể là phản ứng của một số triệu chứng của bệnh khác. Nếu điều trị không kịp thời có thể dẫn đến sự lây nhiễm hoặc nhiễm trùng răng miệng rất nghiêm trọng. Khi có vi khuẩn xâm nhập và gây đau ở vùng răng miệng, chúng tấn công nha chu, ăn sâu vào vùng tủy xương nếu có lỗ sâu răng, dẫn đến viêm xương hàm và nhiễm trùng hệ thống.
Trường hợp nặng có thể là áp xe não, nhiễm khuẩn máu và các biến chứng nghiêm trọng khác, như trong trường hợp nam thanh niên này bị đau răng gây ra hoại tử hàm dưới với một diện tích lớn, mặc dù đã cố gắng điều trị, nhưng hàm dưới vẫn bị tổn hại nghiêm trọng. Cả đời sau đó phải chú ý tránh các cú va chạm bên ngoài gây ra tai nạn và các tình huống bất ngờ khác (có thể gãy hàm).
Lưu ý: Hãy đừng xem việc đau răng là không nghiêm trọng. Khi có triệu chứng đau nhức răng nhẹ, bạn đã cần ngay đến sự trợ giúp của nha sĩ. Nếu để càng lâu thì hậu quả càng nặng nề.











Bình luận