
Băng qua đường, người đàn ông bị xe đâm gãy chân, tổn thương mạch máu
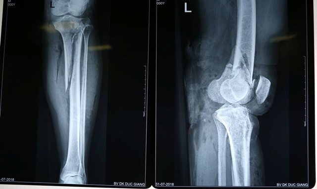
Bệnh viện Đa khoa Đức Giang vừa phẫu thuật thành công cho một nam bệnh nhân gãy chân và tổn thương mạch máu do tai nạn giao thông.

Bệnh viện Đa khoa Đức Giang vừa phẫu thuật thành công cho một nam bệnh nhân gãy chân và tổn thương mạch máu do tai nạn giao thông.

Trong lúc vươn người qua lan can tầng 1 nhìn xuống tìm mẹ, bé trai 5 tuổi không may bị té ngã vào hàng rào, bị cây sắt cắt gần đứt lìa cổ họng.