
Suýt chết vì 'sex' quá đà làm vỡ nang buồng trứng
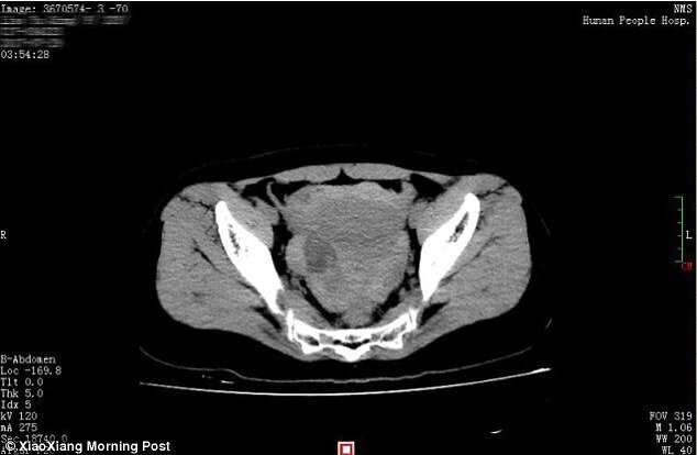
Một cặp đôi ở Trung Quốc do "yêu" quá nồng nhiệt đã làm người vợ bị vỡ nang buồng trứng, gây xuất huyết nghiêm trọng, phải nhập viện cấp cứu trong tình trạng nguy kịch.

Một cặp đôi ở Trung Quốc do "yêu" quá nồng nhiệt đã làm người vợ bị vỡ nang buồng trứng, gây xuất huyết nghiêm trọng, phải nhập viện cấp cứu trong tình trạng nguy kịch.

Nếu như giai đoạn mới chớm thì thoát vị đĩa đệm không có gì đáng lo ngại, thậm chí, cơ hội chữa khỏi cũng rất cao thì ở những giai đoạn sau, bệnh sẽ tiến triển nặng hơn, có nguy cơ biến chứng thành bại liệt, tàn phế suốt đời.