
Cố nhịn hắt hơi, người đàn ông bị vỡ cổ họng
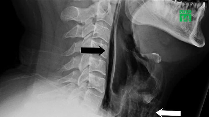
Các nhà khoa học cho biết việc cố nhịn hắt xì hơi có thể khiến vỡ cổ họng, thủng màng nhĩ, vỡ mạch máu não giống như một người đàn ông Anh vừa gặp phải.

Các nhà khoa học cho biết việc cố nhịn hắt xì hơi có thể khiến vỡ cổ họng, thủng màng nhĩ, vỡ mạch máu não giống như một người đàn ông Anh vừa gặp phải.