Mới nhất
Xem nhiều
Bình luận nhiều
Hotline: 0855.911.911
RSS
Liên hệ quảng cáo:
024 36321592
Trang chủ
Liên hệ
Cỡ chữ
Bình luận
Chia sẻ
Bình luận
Facebook
Twitter
Zalo
Zalo
Copy
VTC NEWS TV
Cố nhịn hắt hơi, người đàn ông bị vỡ cổ họng
Đăng Khoa, Chí Bảo
17/01/2018 07:43:00 +07:00
huudanhhs@gmail.com
17/01/2018 07:43:00 +07:00
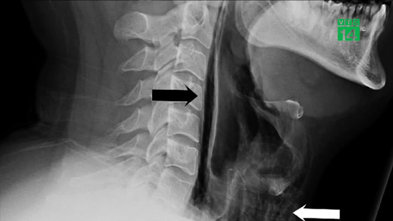
Các nhà khoa học cho biết việc cố nhịn hắt xì hơi có thể khiến vỡ cổ họng, thủng màng nhĩ, vỡ mạch máu não giống như một người đàn ông Anh vừa gặp phải.
Được tài trợ
nhịn hắt xì hơi tác hại khôn lường
người đàn ông bị vỡ cổ họng
Cố nhịn hắt hơi
Bình luận
Được tài trợ
Được tài trợ
Được tài trợ
Được tài trợ
Được tài trợ
Được tài trợ
Được tài trợ
Được tài trợ
Được tài trợ
Được tài trợ
Được tài trợ
Bình luận