Các bác sĩ tại Trung tâm chống độc - Bệnh viện Bạch Mai cho biết, vừa qua đã có thêm 2 nạn nhân bị ngộ độc rượu có cồn công nghiệp (methanol).
Nạn nhân đầu tiên là một người đàn ông 52 tuổi ở Ngọc Khánh (Ba Đình- Hà Nội), đã uống rượu trước khi vào Trung tâm chống độc khoảng 24h tại khu vực Kim Mã, La Thành.
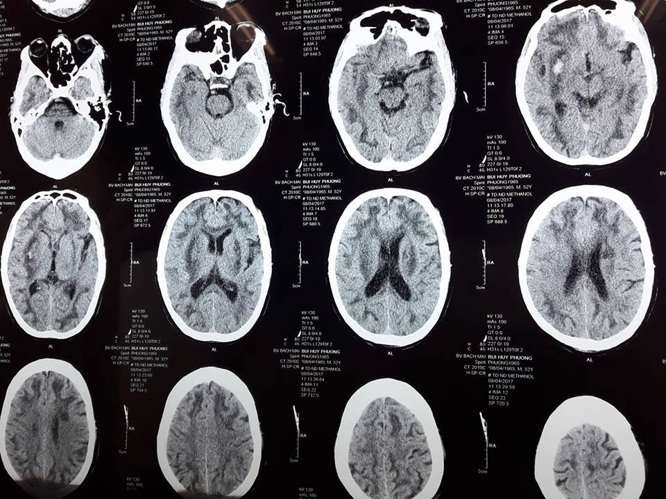
Bệnh nhân được chuyển đến Trung tâm chống độc trong tình trạng hôn mê sâu, tổn thương cả 2 bên bán cầu não, toan chuyển hoá nặng, nồng độ methanol là 45mg/dl.
Bệnh nhân thứ hai (41 tuổi), hiện đang điều trị ở Bệnh viện bệnh Nhiệt đới trung ương với các biểu hiện tương tự như sốc nhiễm trùng, men gan cao và xét nghệm có methanol cao (các bác sĩ Trung tâm chống độc sang hội chẩn cùng).
Ths Nguyễn Trung Nguyên - Phụ trách Trung tâm chống độc cho biết, hiện cả 2 bệnh nhân đều đã được cấp cứu tích cực, lọc máu, điều trị giải độc, nhưng tình trạng cả 2 vẫn đều rất nặng.

Hình ảnh chụp não bị tổn thương do ngộ độc rượu có methanol của người đàn ông 52 tuổi
“Sau khoảng 1 tháng tạm lắng, đến nay Trung tâm chống độc lại tiếp nhận bệnh nhân bị ngộ độc methanol, theo tôi là do chưa giải quyết được phần gốc, rượu chứa methanol vẫn có mặt trên thị trường.
Do đó, các cơ quan chức năng phải làm tích cực hơn, nếu không chừng nào còn chấp nhập rượu trắng không rõ nguồn gốc thì còn người ngộ độc” - ThS Nguyễn Trung Nguyên nói.
Đa số bệnh nhân bị nhiễm độc methanol thời gian qua đều uống rượu trắng không rõ nguồn gốc (khoảng 24-48g trước khi vào viện), không có biểu hiện gì rõ rệt để có thể phát hiện sớm tình trạng ngộ độc methanol.
Các bác sĩ cũng cho biết, hiện tại, chi phí điều trị cho bệnh nhân nhiễm độc methanol dao động từ hàng chục đến hàng trăm triệu, nhưng vấn đề lớn hơn là tình trạng ngộ độc của các bệnh nhân đều rất nặng, nhiều người hôn mê, ảnh hưởng thị lực, số hồi phục hoàn toàn rất ít ỏi.
Theo thống kê của Trung tâm chống độc, Bệnh viện Bạch Mai cho biết, chỉ trong 3 tháng đầu năm 2017, Trung tâm chống độc đã tiếp nhận 34 trường hợp bị ngộ độc rượu có pha cồn công nghiệp (methanol), trong đó có 9 trường hợp đã tử vong, nhiều trường hợp bị ảnh hưởng sức khoẻ nghiêm trọng do ảnh hưởng của chất độc có trong rượu.
Hầu hết các trường hợp này đều mua rượu thủ công bán tại các cửa hàng tạp hoá nhỏ lẻ hoặc sử dụng rượu tại quán nhậu…

Bệnh nhân đang được chăm sóc tích cực tại Bệnh viện Bạch Mai
Riêng tại Hà Nội, theo thống kê từ ngày 22/2 – 14/3, trên địa bàn thành phố Hà Nội đã ghi nhận 25 ca ngộ độc rượu methanol, trong đó đã có 3 bệnh nhân tử vong.
Số người ngộ độc rượu tập trung nhiều ở quận Đống Đa (10 ca) và Cầu Giấy (10 ca)…
Bộ Y tế siết quản lý rượu
Liên quan đến vấn đề quản lý rượu, Bộ Y tế vừa có công văn số 1086/BYT-PC về việc góp ý đối với dự thảo Nghị định về kinh doanh rượu gửi Văn phòng Chính phủ.
Theo đó, tại công văn này, Bộ Y tế đưa ra đề nghị cần quy hoạch, kiểm soát giảm mức độ gia tăng sản lượng rượu, bia, phù hợp với mức độ gia tăng của các nước, điều kiện thực tế của nước ta và yêu cầu phòng, chống tác hại của rượu, bia.
Ngoài ra, Bộ Y tế cũng đề nghị bổ sung một chương riêng về quản lý đối với rượu thủ công. Trong đó có quy định cụ thể biện pháp quản lý đối với rượu thủ công nhằm mục đích kinh doanh (bán cho doanh nghiệp để sản xuất) và rượu thủ công sản xuất cho mục đích tiêu dùng trong hộ gia đình.
Mặt khác, cần quy định cụ thể về quản lý chất lượng rượu, đăng ký sản phẩm với chính quyền cấp xã, trách nhiệm của cơ quan có thẩm quyền trong việc quản lý, tuyên truyền và hướng dẫn người dân trong hoạt động sản xuất, kinh doanh rượu thủ công bảo đảm chất lượng.
Video: Cách sơ cứu người bị ngộ độc rượu














