Đó là trường hợp của V.T.N (hiện 5 tháng tuổi, quê An Giang). Bệnh nhi nhập viện trong tình trạng nhiễm lao kê nặng, phổi trắng xoá, kén khí do các ổ lao vỡ liên tục gây tràn khí màng phổi những 4 lần, thở máy kéo dài, suy hô hấp nặng lệ. Tình trạng của bé nguy kịch đến nỗi các bác sĩ tưởng chừng bé không còn cơ hội sống.
Nhớ lại tháng trước, nhìn con nằm thoi thóp trên giường bệnh phòng cách ly khoa Hồi Sức Tích Cực, BV Nhi Đồng TP.HCM, chị N. (28 tuổi; ngụ tỉnh An Giang) rưng rưng mắt cho biết, đây là lần thứ 4 bé phải đặt ống thở máy và chọc hút khí màng phổi cấp cứu sau khi phát hiện bệnh lao.

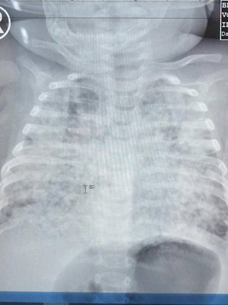
Phổi bé trai trắng xóa.
3 tháng trước, chị vừa sinh con đầu lòng thì chồng phát hiện mắc lao phổi. Sau khi người cha được điều trị tấn công tới tháng thứ 2 thì bé bệnh sốt ho liên tục 1 tuần. Nhập viện địa phương uống thuốc không đỡ, bé được chuyển lên BV Nhi đồng TP.HCM.
Tại đây, phổi bé đã trắng xoá, xét nghiệm mới biết nhiễm lao kê rất nặng. Kể từ ngày đó, chị N. thấp thỏm khi bệnh tình con chưa cải thiện được bao nhiêu lại trở nặng. Căn bệnh lao kê diễn tiến phức tạp, tàn phá phổi bé ghê gớm.
Không để mọi thứ trôi xuôi, các bác sĩ giải quyết triệt để từng đợt nhiễm trùng phổi cho bé, chọc hút khí màng phổi nhiều lần, cấp cứu kịp thời lúc các kén lao vỡ. Thậm chí khi nặng nhất, bé phải thở máy rung tần số cao để đảm bảo trao đổi khí.
Bệnh nhi được điều trị kháng sinh và kháng lao tấn công hơn gần 3 tháng theo phác đồ... Nhờ được theo dõi điều trị tích cực, phổi bé sáng dần lên, mô phổi giảm tổn thương và thông khí ngày càng hiệu quả, các kén khí lớn giảm rõ rệt.
Bác sĩ Nguyễn Cát Phương Vũ cho biết, sau khi nhận thấy nguy cơ tràn khí màng phổi và suy hô hấp có cải thiện và ít tái phát, bé được chuyển viện đến BV Phạm Ngọc Thạch để điều trị tiếp tục phác đồ lao. Hiện tại, bé trai đã xuất viện trong niềm hân hoan của gia đình.
Theo các bác sĩ, trẻ mắc lao bẩm sinh thường do người mẹ mắc bệnh khi đang mang thai hoặc có thể đã mắc trước đó nhưng không được phát hiện.

Sau 3 tháng, bé dần hồi phục.
Cũng có một số ít trẻ sơ sinh nhiễm lao khi vừa lọt lòng do tiếp xúc trực tiếp với nguồn lây từ phòng sinh, người thân gia đình. Những trường hợp này vẫn được gọi là bệnh lao bẩm sinh. Hệ miễn dịch ở trẻ sơ sinh vốn dĩ đã rất yếu nên khi biết mắc bệnh này, trẻ cần được điều trị ngay để tránh những biến chứng.
Nếu phát hiện trễ, các bé có thể mắc các thể lao nặng như lao kê, lao màng não, dễ dẫn đến thiệt mạng.
Triệu chứng nghi ngờ nhiễm lao ở trẻ gia đình cần lưu ý:
– Trong 3 ngày đầu: Trẻ có những biểu hiện sốt nhẹ 1-2 lần trong ngày, ăn ít hơn khẩu phần thường ngày một nửa.
– 1 tuần sau đó: Các cơn ho dai dẳng xuất hiện, đôi khi có đờm màu vàng, trẻ vẫn sốt âm ỉ liên tục quẩn quanh 38 độ C, sút cân nhanh từ 1-2kg.
– Trong 3 tuần: Các cơn ho khan phát triển nặng kèm theo máu, sốt kéo dài thường xuất hiện vào sáng sớm hoặc chiều tối. Dùng kháng sinh thông thường không thể chữa khỏi, và trẻ có hiện tượng suy hô hấp, khó thở, sa sút cân nặng 3-5kg.
Nếu trẻ có những dấu hiệu này, ngay lập tức hãy đưa trẻ đến thăm khám tại bệnh viện, sau khi chụp X quang và các xét nghiệm để biết chính xác trẻ có bị mắc lao phổi hay không.

























