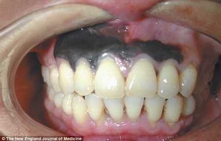
(VTC News) - Người đàn ông này có lợi chuyển sang màu đen được chẩn đoán bị u ác tính ở miệng.
Không giống như các khối u ác tính liên quan đến da. Căn bệnh ung thư này không liên quan đến tiếp xúc với tia cực tím.
Theo các bác sỹ, vùng đen trên lợi của quý ông này rộng khoảng 1.5cm x 4cm. Trước đó, người đàn ông 45 tuổi bị ung thư hoàn toàn khỏe mạnh và không có bất kỳ đau đớn nào.
Chỉ vì lợi chuyển màu đen nên ông ta mới tìm đến các bác sỹ.
Có khoảng 120-130 trường hợp u ác tính niêm mạc được chẩn đoán mỗi năm ở Anh, theo 1 nghiên cứu về ung thư tại Anh cho biết.
Nam Anh
Người đàn ông Trung Quốc được chẩn đoán mắc căn bệnh ung thư rất hiếm gặp. Đây là căn bệnh ung thư niêm mạc. 50 % các trường hợp xảy ra ở các vị trí trên đầu hoặc cổ.
![]() |
| Lợi của người đàn ông bị ung thư. (Ảnh: Dailymail) |
Không giống như các khối u ác tính liên quan đến da. Căn bệnh ung thư này không liên quan đến tiếp xúc với tia cực tím.
Theo các bác sỹ, vùng đen trên lợi của quý ông này rộng khoảng 1.5cm x 4cm. Trước đó, người đàn ông 45 tuổi bị ung thư hoàn toàn khỏe mạnh và không có bất kỳ đau đớn nào.
Chỉ vì lợi chuyển màu đen nên ông ta mới tìm đến các bác sỹ.
Có khoảng 120-130 trường hợp u ác tính niêm mạc được chẩn đoán mỗi năm ở Anh, theo 1 nghiên cứu về ung thư tại Anh cho biết.
Nam Anh



Bình luận