Sự việc ca sĩ Châu Việt Cường cùng bạn sử dụng ma túy đá, ảo giác khiến Cường nhét rất nhiều tỏi vào miệng khiến 1 cô gái trẻ tử vong đang xôn xao dư luận. Nhiều người bàng hoàng về vụ việc và những tác hại khủng khiếp của ma túy đá với tâm thần con người.
Ma túy đá là hóa chất tổng hợp từ thuốc kích thích amphetamine, có tên khoa học là methamphetamine. Ma túy đá được xếp vào loại ma túy gây kích thích hệ thần kinh trung ương. Khi hút ma túy đá chỉ sau khoảng 3-5 phút sẽ có công dụng đem lại cảm giác kéo dài lên đến 6-8 tiếng. Sự thực ma túy đá có thể để lại hậu quả lâu dài, vô cùng nguy hiểm.
Theo thông tin Viện nghiên cứu tâm lý người sử dụng ma túy đá đăng tải, có nhiều dấu hiệu để nhận biết, phát hiện người thân của bạn nghiện ma túy đá hoặc đang sử dụng ma túy đá như ca sĩ Châu Việt Cường.

Ma túy đá là hóa chất tổng hợp từ thuốc kích thích amphetamine, có tên khoa học là methamphetamine
Thậm chí, chỉ cần quan sát bằng mắt thường, bạn có thể dễ dàng phát hiện một người nghiện ma túy đá.
Một số dấu hiệu phát hiện người thân nghiện ma túy đá bằng mắt thường:
Mắt đảo qua đảo lại, đồng tử nở rộng
Do chất methamphetamine (thành phần chính của ma túy đá) khiến người nghiện luôn trong tình trạng “phê”; não bộ phản ứng bằng cách khiến đồng tử giãn rộng và mắt đảo liên tục.
Đi vệ sinh liên tục, rửa tay liên tục
Người nghiện ma túy đá khi ngừng sử dụng lâm vào tình trạng bồn chồn, căng thẳng, lo lắng tột độ nên đôi khi có thói quen rất kì lạ, cứ vài phút lại khát nước/đi vệ sinh hoặc rửa tay một lần.
Khát nước liên tục, rất thích/háo nước ngọt, sụt cân và gầy đi rất nhanh
Nguyên nhân là bởi Methamphetamine khiến não bộ giải phóng hormone sung sướng dopamine và adrenaline cao gấp 15 lần so với bình thường. Những chất này làm cơ thể “phê” tới mức không ăn mà vẫn thấy no trong nhiều ngày.

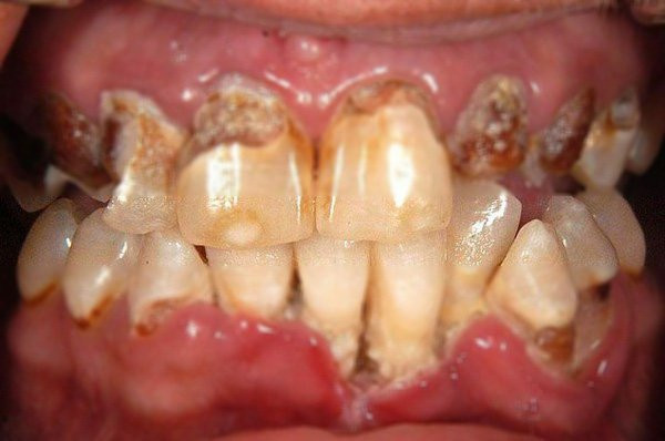
Người nghiện ma túy đá men răng hỏng, miệng khô và hơi thở có mùi. (Ảnh minh họa)
Mồ hôi có mùi khai
Khi không thấy đói, không muốn ăn trong thời gian dài khiến cơ thể người nghiện thiếu hụt năng lượng trong việc bài tiết chất thải như bình thường.
Amoniac vì vậy sẽ bị đào thải qua da, khiến mồ hôi của con nghiện ma túy đá tiết ra rất nhiều và có mùi như... nước tiểu mèo.
Xuất hiện quầng thâm mắt rõ rệt
Methamphetamine sẽ gần như phá hỏng hoàn toàn cơ chế tiết dopamine của não bộ. Sau khi "thăng hoa", con nghiện có thể không ngủ trong vòng cả tuần.
Tuy nhiên, những người xung quanh hoàn toàn có thể nhận ra điều này qua hiện tượng mắt thâm quầng hay các bọng mắt xuất hiện.
Da nhăn nheo, nhiều mụn trứng cá lở loét trên cơ thể
Khi “ngáo đá”, các mạch máu trong cơ thể co lại, tế bào bạch cầu cũng chết dần khiến da không còn độ đàn hồi và dễ bị tổn thương khiến da nhăn nheo, nhiều mụn trứng cá lớn và hay lở loét.
Video: Gia tăng bệnh nhân nhập viện vì sốc ma túy đá
Men răng hỏng, miệng khô và hơi thở có mùi
Chất amoniac khan, phosphorus đỏ và lithium trộn lẫn trong ma túy gây xói mòn men răng, khiến con nghiện khô miệng và ít tiết nước bọt; sâu răng, viêm nướu và hơi thở có mùi khó chịu.
Hay bị chảy máu mũi
Methamphetamine khi tiếp xúc bên ngoài có thể ăn mòn vách ngăn bên trong niêm mạc mũi, lâu dần dẫn tới hiện tượng chảy máu cam thường xuyên, thậm chí bị bỏng ngoài da.
Cơ thể bị hội chứng “kiến bò dưới da”
Ảo giác và sự thay đổi thất thường tâm trạng chính là biểu hiện rõ nét nhất của những người nghiện ma túy đá lâu năm.
Họ thường gặp phải “hội chứng kiến bò”, nghĩa là liên tục thấy ngứa ngáy như có côn trùng bò dưới da, người nghiện gãi cho tới khi làn da chảy máu và lở loét mà vẫn không đỡ.













Bình luận