Bạn có hay, cứ 3 người châu Âu thì lại có 1 người sở hữu ngón chân trỏ dài hơn ngón chân cái? Và dám cá rằng, không ít bạn ở đây cũng sở hữu bàn chân có ngón dài ngón ngắn có phần đặc biệt này.
Liệu rằng cấu trúc bàn chân "bất bình thường" chỉ có ở 15% dân số thế giới này liệu có gây hại gì cho chúng ta không? Câu trả lời sẽ được hé lộ ngay sau đây.

Cấu trúc bàn chân "bất bình thường" chỉ có ở 15% dân số thế giới
Ít ai biết rằng, những người có bàn chân với ngón trỏ dài hơn ngón cái thuộc tuýp người "bàn chân Hi Lạp". Theo nhân tướng học, người sở hữu "bàn chân Hi Lạp" là những người giàu cảm xúc, sống tình cảm, sống và làm việc theo sở thích, dễ có cuộc sống giàu sang, hạnh phúc.
Dưới góc độ y học, thuật ngữ dành cho những người có ngón chân đặc biệt này là hội chứng Morton - đặt theo tên của tiến sĩ Dudley Morton vào năm 1930.

Phần đốt ngón chân ở xương ngón chân trỏ có phần dài hơn so với các ngón chân còn lại
Theo đó, ngay từ khi bẩm sinh, phần đốt ngón chân ở xương ngón chân trỏ có phần dài hơn so với các ngón chân còn lại. Điều này khiến cho ngón trỏ có xu hướng dài hơn các ngón còn lại trong bàn chân.
Theo các chuyên gia, khi ngón chân thứ 2 dài hơn, điều này đồng nghĩa với việc khi bạn đứng hoặc đi bộ... toàn bộ trọng lượng cơ thể dồn xuống tập trung ở bàn chân và ngón chân này sẽ chịu áp lực nhiều hơn cả.
Bởi vậy, các người anh em của "ngón trỏ" có xu hướng tiến sát lại gần hơn như 1 cách để chia sẻ áp lực.
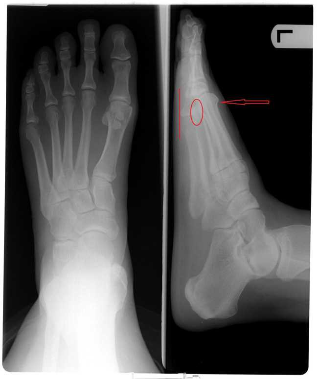
Dưới ảnh chụp X-quang, ta nhận thấy khi ngón thứ 2 "vượt cao" thì phần xương ngón chân cái cũng có xu hướng bị ép và cong vào sát với ngón trỏ.

Ảnh chụp X-quang
Với sự chênh lệch kích thước giữa các ngón chân, phần dây chằng ở bên ngoài mắt cá chân cũng bị kéo giãn, dễ bị tổn thương. Khi chân bị gò bó nhiều dễ dẫn đến tình trạng viêm sưng, cơn đau cấp tính, sưng, bầm tím.
Tình trạng đau nhức ngón chân do các nhánh thần kinh giữa xương bàn bị chèn ép cũng khiến nhiều người gặp rắc rối mỗi khi mang giày, đặc biệt là giày cao gót trong thời gian dài.
Chưa hết, những nạn nhân của "bàn chân Hi Lạp" còn dễ bị đau lưng dưới, đầu gối, hông do các phần cơ này thường có xu hướng đổ về trước, chịu lực với ngón chân trỏ.
Vì vậy, nếu bạn sở hữu "bàn chân Hi Lạp" thì nên chú ý lựa chọn giày, dép thoải mái, phù hợp với bàn chân để tránh những tiêu cực kể trên. Hoặc không, bạn có thể đến bác sĩ để được tư vấn, làm tiểu phẫu thu gọn ngón chân trỏ nhé!
Video: Kỳ lạ gia đình ai cũng có 12 ngón tay, 12 ngón chân trở lên ở Ấn Độ














