Ăn lòng lợn, tiết canh sán làm tổ trong não
Bệnh nhân nam 58 tuổi, ở Cao Lộc, Lạng Sơn. Bệnh nhân được người nhà đưa xuống BV Bệnh Nhiệt đới Trung ương ngày 12/5 trong tình trạng lơ mơ, xuất hiện các cơn co giật.
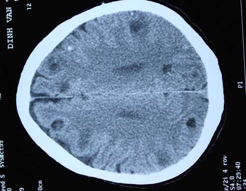
![]() |
| Ổ sán trong não bệnh nhân. |
4 ngày trước khi nhập viện bệnh nhân cũng xuất hiện các cơn co giật và rơi vào trạng thái lơ mơ.
“Với hai triệu chứng điển hình trên cộng với tiểu sử bệnh nhân là người thích ăn món lòng lợn tiết canh, rau sống chúng tôi nghĩ đến căn bệnh sán não nên chỉ định cho bệnh nhân chụp CT sọ não ngay lập tức”, ThS Cấp chia sẻ.
Không nằm ngoài dự đoán kết quả chụp CT sọ não của bệnh nhân cho thấy rất nhiều sán trong não. Nhìn kết quả chụp các bác sĩ cũng phải tá hóa bởi mỗi lát cắt chụp não phát hiện 4-5 ổ sán não, tính chung trong não của bệnh nhân có tới trên dưới 50 ổ sán làm tổ.
Sán não có thể gây tử vong
TS.BS Nguyễn Như Lâm, Trưởng khoa Vi rút - Kí sinh trùng, BV Bệnh Nhiệt đới Trung ương cho biết, phần lớn bệnh nhân nhiễm sán não đến bệnh viện khám với biểu hiện đau đầu kéo dài, thậm chí có co giật. Với 2 triệu chứng này nhiều bệnh nhân điều trị tại tuyến dưới rất dễ bị chẩn đoán nhầm sang bệnh đau đầu, động kinh.
Có những bệnh nhân phải điều trị nhầm ở tuyến dưới hàng tháng trời, thậm chí là nhiều năm không thấy đỡ chuyển lên tuyến trung ương mới chụp cắt lớp, hình ảnh nang sán não dễ dàng được phát hiện, bởi nang sán có kích thước khá to, có những nang lớn từ 0,5 - 1cm.
Theo BS Cấp, có rất nhiều nguy cơ nhiễm sán trong môi trường. Bình thường, sán có trong ruột của lợn, thậm chí có trong ruột của người.
Khi phân thải ra môi trường nếu không được xử lý tốt, bám vào rau sống, tiết canh (do giết mổ không an toàn, trứng sán trong phân có nguy cơ dính vào tiết canh trong quá trình chọc tiết lợn), nếu người nuốt phải trứng sán này trong thức ăn thì sẽ bị nhiễm ấu trùng sán lợn.
Khi trứng sán vào trong cơ thể nó phát triển thành ấu trùng. Ấu trùng sán lợn có khả năng xuyên qua niêm mạc đường tiêu hóa và theo dòng máu, mạch huyết đi khắp mọi nơi trong cơ thể và cư trú ở tất cả các hệ thống từ cơ vân đến cơ tim, cơ hoàn, não. Nang sán trú lại chỗ nào sẽ gây bệnh ở chỗ ấy.
TS Lâm cũng cảnh báo: “Với những bệnh nhân bị nang sán gây tổn thương ở những ống dẫn lưu, lưu thông ổ dịch não tủy từ trên não, gây tắc, gây giãn não thất, ứ nước trong não thì việc phát hiện sớm rất quan trọng để tiến hành phẫu thuật. Còn bình thường, với sán não người bệnh chỉ cần điều trị nội khoa mà không có chỉ định phẫu thuật”, TS Lâm nói.
Còn nếu được phát hiện sớm bệnh nhân sẽ khỏi hẳn các triệu chứng do ấu trùng sán gây ra, song nhiều trường hợp có thể để lại hiện tượng các nốt vôi hóa trong não do bị nang sán quá lâu không được điều trị. Nếu sán trú ngụ vùng mắt có thể gây mù, trú ngụ trong não gây tình trạng phù não, co giật, thậm chí tử vong”.
Để phòng bệnh sán não, các bác sĩ khuyến cáo người dân cần phải vệ sinh cá nhân sạch sẽ, rửa tay sạch trước khi ăn và sau khi đi vệ sinh. Cần vệ sinh môi trường sạch sẽ, quản lý tốt nguồn phân, không dùng phân tươi để tưới rau… Tuyệt đối không ăn thịt lợn gạo, tiết canh, nem chua, thịt lợn tái…
Với những người có thói quen ăn nhiều đồ tái, đồ sống, tiết canh, rau sống mà xuất hiện các biểu hiện đau đầu các bác sĩ nên nghĩ đến khả năng bị sán não để có chỉ định phù hợp và chẩn đoán đúng bệnh cho bệnh nhân.
» Ăn tiết canh: Kẻ chết, người mất chân
» Cận cảnh giun móc hút máu người
» Sán ngọ nguậy trong môi người
» Kinh dị các phương pháp chữa bệnh 'lấy độc trị độc'
Theo Khampha














Bình luận