Bệnh nhân Đ.V.T. (38 tuổi, trú tại Sơn Dương, Tuyên Quang) bị tai nạn giao thông, nhập viện trong tình trạng lơ mơ, vết thương vùng trán đỉnh ~12cm, bờ vết thương nham nhở, chảy máu nhiều, lộ mảng xương sọ vỡ lún, tổ chức não đùn ra ngoài, đồng tử trái giãn 3,5mm, phản xạ ánh sáng kém.
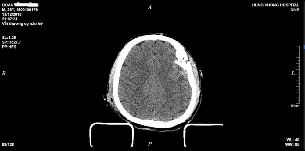
Qua hình ảnh phim chụp cắt lớp vi tính cho thấy, hình ảnh vỡ lún phức tạp xương trán đỉnh thái dương trái, tụ máu ngoài màng cứng, dập não đa ổ thái dương trái, xuất huyết dưới nhện.

Hình ảnh vết thương sọ não hở của bệnh nhân Đ.V.T. (Ảnh: Bệnh viện cung cấp)
Tiên lượng đây là ca bệnh nặng, thời gian không đủ để bệnh nhân chuyển viện lên tuyến trên, khả năng bệnh nhân thiệt mạng bất cứ lúc nào, các bác sĩ nhanh chóng hội chẩn liên khoa và quyết định: Phẫu thuật là biện pháp duy nhất và cần phải làm gấp giữ lại tia hy vọng cứu sống bệnh nhân.
Ngay lập tức, bệnh nhân được hồi sức 30 phút để chuẩn bị các điều kiện cận lâm sàng cần thiết trước khi mổ. Tại phòng phẫu thuật, bệnh nhân được các bác sĩ tiến hành mở sọ vole, nhấc bỏ các mảng xương vỡ lún, lấy máu tụ, cầm máu, tạo hình màng cứng.
Rất may, sau khi mổ, bệnh nhân được an thần, thở máy, huyết động ổn định nhưng vẫn đang được chăm sóc thêm tại khoa Hồi sức tích cực của bệnh viện.
Thông tin thêm về ca bệnh, Bác sĩ Đặng Thanh Hải - Giám đốc Bệnh viện Đa khoa Hùng Vương cho biết, nếu sức khỏe diễn biến thuận lợi, sau 2 tháng nữa, bệnh nhân sẽ được phẫu thuật thêm một lần nữa để tạo hình hộp sọ bằng titan.
Qua trường hợp ca bệnh trên, bác sĩ Hải cũng đưa ra lời khuyến cáo đối với người dân, tai nạn giao thông đã và đang trở nên vô cùng nguy hiểm, nhất là dịp Tết Dương lịch đang đến gần.
“Mỗi ngày, bệnh viện tiếp nhận hàng chục ca tai nạn với nhiều mức độ thương tích khác nhau. Do đó, người dân cần đề phòng, cảnh giác khi tham gia giao thông để tránh những hậu quả đáng tiếc có thể xảy ra”, bác sĩ Hải nói.
Video: Ẩu đả, tai nạn giao thông liên tiếp xảy ra trong đêm "đi bão" ăn mừng chiến thắng














Bình luận