3 tuổi, Phan Thị Kim Vân (quê Quảng Nam) mới biết đi nhưng bước rất yếu. Tình trạng ngày càng nghiêm trọng hơn khi lên tiểu học, hễ cứ bước vài bước là Vân khuỵu ngã. Từ đó, cuộc đời của cô phải gắn liền với chiếc xe lăn.
Đôi chân tật nguyền đã cướp mất tuổi thơ được nô đùa bên chúng bạn, cướp mất cả cơ hội khám phá thế giới của Vân. Trong suốt những năm đi học, Vân chỉ biết duy nhất đoạn đường từ nhà đến trường và ngược lại.
Dù đi đứng bất tiện, sinh hoạt hàng ngày khó khăn hơn nhưng Vân luôn cố gắng tự làm những việc trong khả năng, không tạo gánh nặng cho bố mẹ. Nỗ lực học tập, cô thi đỗ vào khoa Tâm lý học, trường Đại học Khoa học Xã hội và Nhân văn (Đại học quốc gia TP.HCM).

Từ nhỏ đến lớn, Vân đã làm bạn với chiếc xe lăn.
Kề từ ngày phát bệnh, gia đình đã đưa Vân đi thăm khám nhiều nơi nhưng đều nhận cái lắc đầu, bảo rằng bệnh của cô liên quan đến gen di truyền. Thực tế, Vân có một người anh cũng mắc bệnh tương tự, thậm chí nghiêm trọng hơn khi đã liệt tứ chi. Cô gái luôn lo sợ một ngày sẽ nằm một chỗ như anh mình, cắt đứt mọi giao tiếp với cuộc sống bên ngoài.
Từ đông y đến tây y, từ bệnh viện này đến phòng khám khác Vân đều đã thử qua nhưng không mấy khả quan. Có nơi còn chỉ định cho cô gái mổ chỉnh hình cột sống với lời khuyến cáo rủi ro sẽ cao.

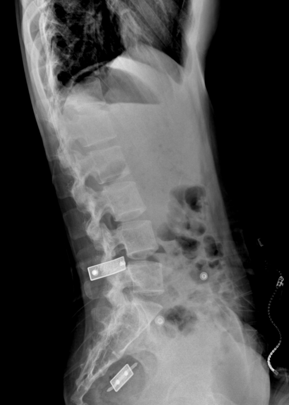
Gần đây, cột sống của cô gái cong lên bất thường.
Càng ngày, tình trạng của Vân ngày một nghiêm trọng hơn. 27 tuổi, người cô nghiêng hẳn về một bên khi đứng. Phần cột sống thắt lưng cũng cong lên bất thường, kèm theo đó là triệu chứng đau mỏi lưng, ảnh hưởng không ít đến việc học tập và sinh hoạt của Vân. Cô như rơi vào bi kịch không lối thoát.
Gần đây, một nữ y sĩ đã giới thiệu Vân đến một phòng khám tại TP.HCM để thử trị liệu thần kinh cột sống.

Vân được chẩn đoán mắc chứng bại liệt.
Tại đây sau khi kiểm tra, bác sĩ Paul D’Alfonso chẩn đoán Vân mắc phải chứng bệnh bại liệt (tủy xám) thường xảy ra ở trẻ em. Do bệnh kéo dài đã lâu nên đã rất nặng và khó có thể trở về bình thường. Cô sẽ được điều trị chủ yếu theo hướng kết hợp nắn chỉnh và tập trị liệu phục hồi giúp cột sống, giúp lấy lại cân bằng và tăng sức mạnh cho những cơ suy yếu lâu năm. Liệu trình điều trị kéo dài một năm.
Tuy nhiên chỉ khoảng 2 tháng, Vân đã có những thay đổi rõ rệt về sức khỏe.

Các bác sĩ tiến hành nắn chỉnh cột sống cho cô gái.
“Sau 2 tháng điều trị, Vân cảm thấy khỏe lên rất nhiều, sinh hoạt cũng nhanh hơn, ít đau người hơn, ăn được ngủ được. Các bác sĩ hỗ trợ Vân lấy lại liên lạc với thần kinh, kích thích vận động, giúp Vân dãn cơ, tăng cơ và nắn chỉnh cột sốn. Phòng khám rất quan tâm và hỗ trợ rất nhiều, Vân cảm thấy may mắn vô cùng” – Kim Vân chia sẻ.
Theo bác sĩ, phác đồ điều trị cho nữ bệnh nhân bao gồm: nắn chỉnh cột sống điều chỉnh sai lệch, vật lý trị liệu thúc đẩy cơ chế tự chữa lành của cơ thể, kết hợp thêm các bài tập giãn cơ, bài tập phục hồi chức năng và kích thích cơ phát triển bằng máy tập cơ chuyên nghiệp EMS.
“Hiện tại sau vài lần nắn chỉnh và tập luyện, Vân đã có một số cải thiện như đỡ đau mỏi vào buổi sáng khi thức dậy, đặc biệt phần chân của Vân đã cử động được nhiều và dễ dàng hơn, các động tác căng giãn cơ chân cũng dễ dàng thực hiện hơn. Tuy nhiên, để bệnh nhân có thể đứng lên trên đôi chân mình cần mất thời gian ít nhất 1 năm . Sau đó cần tiếp tục kiên trì điều trị để có thêm những kết quả rõ rệt khác” – bác sĩ cho biết.














