Bệnh viện đa khoa Hùng Vương vừa tiếp nhận một trường hợp đắp thuốc nam để chữa gãy xương. Đó là trường hợp bệnh nhi T.D.K (11 tuổi, Hàm Yên, Tp. Tuyên Quang). Bé nhập viện khi cẳng tay biến dạng, 1/3 dưới biến dạng góc mở ra trước, cal xơ, vận động kém.

Hình ảnh cho thấy tay cháu bé biến dạng. (Ảnh bệnh viện cung cấp)
Gia đình bệnh nhi cho biết, cách đây một tháng từng đưa bé đi khám tại bệnh viện huyện và được tư vấn vào viện điều trị, nhưng gia đình xin cho cháu về đắp thuốc nam. Sau đó, phần cổ tay của bé cong ra ngoài, bé vẫn đau nên gia đình đưa bé đến viện.
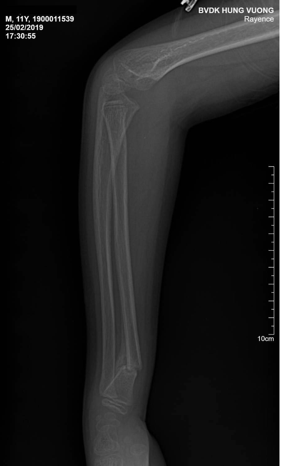
Kết quả chụp x-quang cẳng tay phải của bệnh nhi cho thấy hình ảnh gãy kín đầu dưới xương quay, cần được phẫu thuật cố định lại.
Theo bác sỹ trực tiếp khám và phẫu thuật cho bé, bệnh viện thường xuyên tiếp nhận bệnh nhân vào viện điều trị với các biến chứng nguy hiểm của điều trị thuốc nam. Nhiều người bị nhiễm trùng vùng da đắp thuốc, phỏng rộp, dây chằng bị tổn thương, biến dạng phần xương bị gãy.
Với những trường hợp nhẹ có thẻ phẫu thuật phục hồi chức năng vận động cho bệnh nhân, nhưng một số chấn thương gãy xương nặng không được điều trị kịp thời sẽ để lại di chứng nặng nề, hạn chế vận động và có thể bị liệt.

Hình ảnh chụp x-quang cho thấy tay cháu bé gãy kín đầu dưới xương quay, cần được phẫu thuật cố định lại xương quay. (Ảnh bệnh viện cung cấp)
Bác sĩ khuyên, nếu bị gãy xương, trật khớp, người bệnh cần đến bệnh viện lập tức để được khám, chụp x-quang xác định tình trạng chấn thương và được điều trị đúng cách.













