Tính đến hôm 21/5, 92 trường hợp được xác nhận và 28 trường hợp nghi ngờ mắc bệnh đậu mùa khỉ đã được báo cáo từ 12 quốc gia thành viên WHO, những nơi không thường xuất hiện virus gây bệnh này.
Cơ quan Liên hợp quốc cho biết sẽ cung cấp thêm hướng dẫn và khuyến nghị trong những ngày tới cho các quốc gia về cách giảm thiểu sự lây lan của bệnh đậu mùa khỉ.

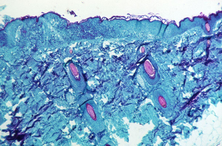
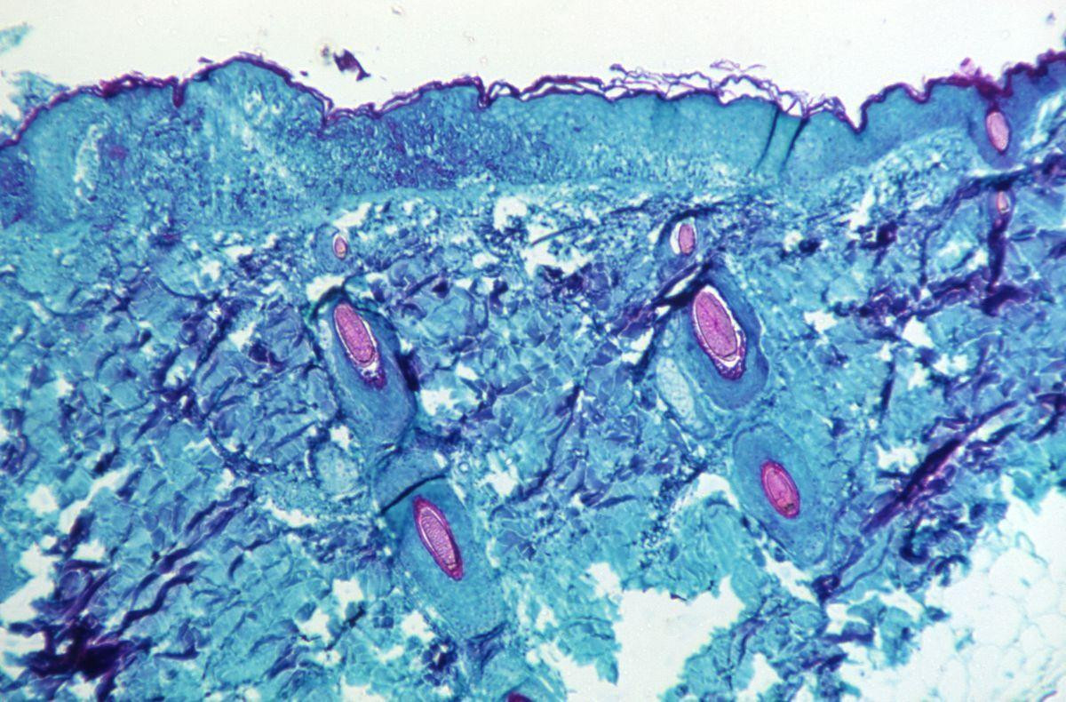
Một phần mô da từ khỉ nhiễm virus đậu mùa khỉ. (Ảnh: Reuters)
Cơ quan nói thêm: “Thông tin hiện có cho thấy rằng sự lây truyền từ người sang người đang xảy ra giữa những người tiếp xúc gần gũi về thể chất với những trường hợp có triệu chứng bệnh”.
Bệnh đậu mùa khỉ là một bệnh truyền nhiễm thường nhẹ, và là dịch bệnh vốn lưu hành ở các vùng phía Tây và Trung Phi. Bệnh lây lan khi tiếp xúc gần, vì vậy có thể được ngăn chặn tương đối dễ dàng thông qua các biện pháp như tự cách ly và vệ sinh.
Ông David Heymann, chuyên gia bệnh truyền nhiễm của WHO, nói: "Điều dường như đang xảy ra bây giờ là nó đã xâm nhập vào dân chúng dưới dạng bệnh tình dục, và đang được lan truyền như các bệnh lây nhiễm qua đường tình dục, làm tăng khả năng lây lan trên toàn thế giới".
Nhiều ca trong số các trường hợp mắc bệnh hiện tại đã được phát hiện tại các phòng khám sức khỏe tình dục.
Ông Heymann cho biết một ủy ban quốc tế gồm các chuyên gia đã họp trực tuyến để xem xét những gì cần được nghiên cứu về sự bùng phát của các ca bệnh này và thông báo cho công chúng. Những điều được xem xét bao gồm cả việc có bất kỳ sự lây lan không triệu chứng nào không, ai là những người có nguy cơ cao nhất và các con đường lây truyền khác nhau.
Ông nói cuộc họp được triệu tập "vì tình hình cấp bách", và không phải là nhóm có vai trò đề xuất tuyên bố tình trạng khẩn cấp về sức khỏe cộng đồng - hình thức cảnh báo cao nhất của WHO đã áp dụng cho đại dịch COVID-19.
Theo Heymann, tiếp xúc gần là con đường lây truyền đáng chú ý, vì các tổn thương điển hình của bệnh rất dễ lây lan. Ví dụ, các bậc cha mẹ chăm sóc trẻ bị bệnh cũng như các nhân viên y tế có nguy cơ mắc bệnh, đó là lý do tại sao một số quốc gia đã bắt đầu tiêm chủng cho các nhóm điều trị bệnh đậu mùa khỉ bằng vaccine phòng bệnh đậu mùa - bệnh do virus có liên quan gây ra.
Chuyên gia nhấn mạnh rằng đợt bùng phát bệnh đậu mùa ở khỉ không giống với những ngày đầu của đại dịch COVID-19 vì bệnh này không lây truyền dễ dàng. Những người nghi ngờ họ có thể đã tiếp xúc hoặc có các triệu chứng bao gồm phát ban sần sùi và sốt, nên tránh tiếp xúc gần với những người khác. "Đã có vaccine nhưng thông điệp quan trọng nhất là bạn có thể tự bảo vệ mình".
Ngoài ra, việc giải trình tự bộ gen ban đầu của một số ít các ca bệnh ở châu Âu đã cho thấy có sự tương đồng giữa chủng đậu mùa này với chủng lây lan hạn chế ở Anh, Israel và Singapore vào năm 2018.
















Bình luận