Trước khi được phát hiện có 1 khối u di căn từ trực tràng, hậu môn, bàng quang, tuyết tiền liệt đến dương vật, người đàn ông này thường xuyên đến khám tại bệnh viện để phàn nàn về triệu chứng chảy máu khi đi đại tiện của mình. Nhưng các bác sĩ chỉ cho rằng, người đàn ông bị táo bón đơn thuần.

Sau đó, các triệu chứng dần trở nên nghiêm trọng hơn, cân nặng của ông sụt giảm nhanh chóng. Ông cũng cảm nhận được 1 khối u trong hậu môn, đồng thời, da dương vật cũng dày cộm bất thường trong 6 tháng qua.
Trước đó, ông này thường xuyên đến thăm khám bệnh viện và phàn nàn về triệu chứng chảy máu khi đi nặng và giảm cân. Anh này cho rằng mình chỉ bị táo bón đơn thuần, nhưng thực tế ông này bị ung thư dương vật.
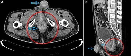
Ngay sau đó, ông được chuyển đến Viện nghiên cứu y học Jawaharlal, Puducherry, Ấn Độ tiến hành chụp CT. Kết quả chuẩn đoán phát hiện bệnh nhân có một khối u dài tới 10cm trong ống hậu môn. 1cm của khối u đã nhô ra khỏi hậu môn khiến bao quy đầu sưng lên.

Các bác sĩ tại đây cho biết, khối u đã di căn vào bàng quang, niệu đạo và đến đầu dương vật. Đây là biểu hiện của ung thư tuyến- một căn bệnh bắt nguôn từ khối u di căn trong dương vật và hậu môn.
các bác sĩ tại Viện nghiên cứu y học Jawaharlal, Puducherry, Ấn Độ đã tiến hành chụp CT. Kết quả phát hiện bệnh nhân này có một khối u 10cm trong ống hậu môn, trong đó 1cm của khối u đã nhô ra ngoài hậu môn. Họ cũng nhận thấy dấu hiệu sưng trên quy đầu.
Các bác sĩ cho biết, khối u đã di căn vào bàng quang, niệu đạo và đến đầu dương vật. Đây là một trong những dấu hiệu của ung thư tuyến, căn bệnh bắt nguồn từ một khối u hình thành từ các tế bào biểu mô của cơ thể.
Sau đó, người đàn ông này được phẫu thuật cắt bỏ 1 phần ruột già và tiến hành hóa xạ trị. Tuy nhiên, kết quả không mấy khả quan khi khối u ngày càng phát triển lớn hơn. Bệnh nhân sau đó được đang uống thuốc giảm đau và chăm sóc những ngày cuối cùng của cuộc đời.

Tại Việt Nam, những bệnh nhân mắc ung thư tuyến tiền liệt không phải là hiếm gặp. Bệnh viện Da liễu Trung ương đã từng tiếp nhận bệnh nhân N.V.T, 40 tuổi, Hà Nội trong tình trạng loét và hoại tử dương vật. Sau đó, ông T tiếp tục được đưa đến Bệnh viện Da liễu Trung ương thăm khám. Với kết quả khối u chưa di căn nên bác sĩ quyết định cắt bỏ toàn bộ vùng kín của bệnh nhân sau đó tạo hình lại. Đến nay, ông T vẫn bảo đảm chức năng tiểu tiện và chức năng quan hệ tình dục.
Video: Bút thần kỳ, phát hiện ung thư chỉ trong 10 giây
Ung thư dương vật là ung thư bộ phận sinh dục của nam giới, xuất phát từ lớp biểu mô vảy không sừng hóa của niêm mạc qui đầu và bao quy đầu.
Theo các bác sĩ bệnh viện Da liễu Trung ương, bệnh ung thư dương vật chiếm tỉ lệ 2,1/100.000 người. Nguyên nhân gây bệnh không rõ ràng nhưng có trên 90% bệnh nhân ung thư dương vật có liên quan đến tiền sử hẹp bao quy đầu.
Một số nguyên nhân gây ung thư dương vật:

Phòng bệnh ung thư dương vật ở nam giới
Ung thư dương vật tuy hiếm gặp nhưng lại gây hậu quả nặng nề, nhất là các trường hợp hẹp bao quy đầu, bị bệnh lây nhiễm qua đường tình dục. Qua trường hợp các bệnh nhân nói trên, các chuyên gia cũng khuyến cáo nam giới nên:
- Đi khám bác sĩ nếu dương vật xuất hiện mụn, vùng da bị dày lên, ngứa, có mùi khó chịu…
- Đối với trẻ, cha mẹ nên lộn bao quy đầu từ sớm để tránh viêm nhiễm, nếu bị hẹp bao quy đầu nên phẫu thuật sớm
- Giữ gìn vệ sinh sạch sẽ bộ phận sinh dục, mặc quần áo thoáng mát, thấm mồ hôi
- Chung thuy 1 vợ 1 chồng, khi cơ nhiều bạn tình cần đeo bao cao su khi quan hệ
- Hạn chế sử dụng các chất kích thích có hại cho sức khỏe như thuốc lá, rượu…















Bình luận