
Thương tâm bé gái chờ chết sau cấy ghép phổi
(VTC News) - Bé gái 10 tuổi đang chờ chết sau khi được ghép phổi của người lớn.

(VTC News) - Bé gái 10 tuổi đang chờ chết sau khi được ghép phổi của người lớn.

(VTC News)- Khi khám phổi cho bé 3 tuổi, các bác sĩ đã nghe được một âm thanh rất đặc biệt như tiếng kèn “te te”.

(VTC News) - Cặp vợ chồng này đã vô cùng đau đớn khi có tới 3 trong số 5 người con mắc chứng bệnh xơ nang đe dọa mạng sống từng ngày.

(VTC News) - Một cậu bé chỉ có thể duy trì được sự sống của mình trong lúc ngủ khi được ngủ trên chiếc giường có chế độ rung đặc biệt.

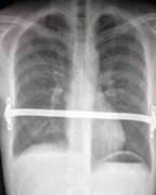
(VTC News) - Một người đàn ông có lồng ngực bóp bẹp tim và phổi đã được cứu sống sau khi các bác sĩ đưa vào các khe xương sườn một thanh kim loại.

(VTC News) - Đối với những người sợ đi khám răng thì việc nuốt phải mũi khoan răng và bị mũi khoan răng mắc ở phổi quả là một cơn ác mộng khủng khiếp.

(VTC News) – Một chàng trai có khối u ở ngực trái to bằng quả bưởi. Nếu không được phẫu thuật kịp thời, trái tim 19 tuổi này sẽ bị nổ tung.

(VTC News) - “Tôi không thể làm được gì hơn việc gửi tới mọi người lời cầu cứu khẩn thiết này để tìm kiếm cơ hội chiến thắng tử thần”

(VTC News) – Phóng viên VTC News thâm nhập nhóm cò mua bán trứng người trước cổng bệnh viện Phụ sản T.Ư và ghi nhận những câu chuyện 'thâm cung'.

(VTC News) - Vi khuẩn H.pylori, HBV, HCV và HPV là nguyên nhân gây ra ung thư dạ dày, gan và đốt sống cổ.

Các bác sĩ Bệnh viện Nhi Đồng 1 TPHCM vừa gắp chuôi bóng đèn pin ra khỏi phổi của một cháu bé 14 tuổi ở Đắk Lắk