• Trang chủ

  • Xem nhiều

  • 15+

    Tin mới

  • Video

  • Chia sẻ

  • logo
  • Mới nhất
  • Xem nhiều
  • 💰 Giá vàng
  • 📅 Lịch âm
  • ☀️ Thời tiết
  • 🎟️ Xổ số
Báo điện tử VTC News - Đọc báo tin tức trong ngày hôm nay
  • Mới nhất
  • Xem nhiều
  • Bình luận nhiều
  • Hotline: 0855.911.911
  • RSS
    Liên hệ quảng cáo: 024 36321592

    bỏng laser

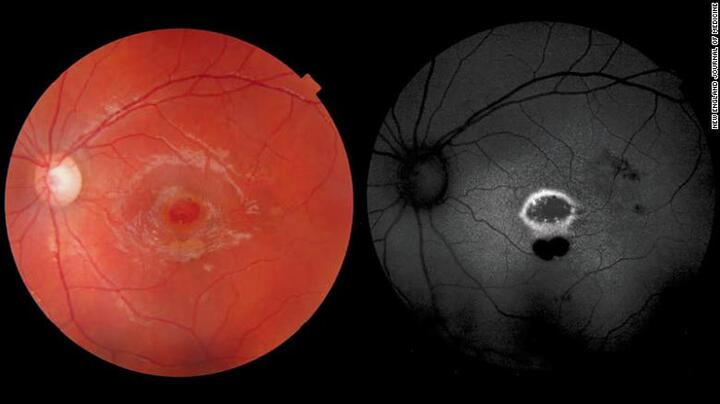
    Nghịch chơi đèn laser, cậu bé bị thủng võng mạc

    Nghịch chơi đèn laser, cậu bé bị thủng võng mạc

    Một cậu bé người Hy Lạp bị tổn thương vĩnh viễn ở mắt trái do chiếu đèn laser vào mắt.

    Được tài trợ

    Thông tin hữu ích

    Cập nhật nhanh các thông tin được quan tâm mỗi ngày

    • Lịch âm hôm nay
    • Dự báo thời tiết hôm nay
    • Giá vàng hôm nay
    • Giá xe ô tô
    • Giá xe máy
    • XSMN hôm nay
    • XSMB hôm nay
    • XSMT hôm nay
    • Vietlott hôm nay