Đây là một rối loạn thường gặp với 2-3% dân số trên toàn thế giới, một số trường hợp gây ra những biến chứng ở móng tay và các khớp cũng như các tổn thương trên da.
Yếu tố di truyền cũng như các yếu tố kích thích đóng một vai trò quan trọng trong nguyên nhân gây bệnh. Biểu hiện lâm sàng của bệnh vảy nến rất đa dạng, nhưng thường gặp nhất là vảy nến thể mảng, đặc trưng bởi các tổn thương dạng ban hồng, nổi sần hình tròn hoặc hình bầu dục, bao phủ bởi lớp vẩy màu trắng bạc. Mặc dù các tổn thương có thể khu trú ở bất kì vùng nào trên bề mặt da, các vị trí thường thấy là khuỷu tay, đầu gối, da đầu và vùng thắt lưng – cùng và đối xứng hai bên.
Các biểu hiện tại da của bệnh vảy nến có thể khác nhau về hình thái và mức độ và việc điều trị nên được thay đổi cho phù hợp. Điều trị tại chỗ bệnh vảy nến đã được giới hạn với corticosterois, các dẫn xuất của vitamin D, axit salicylic, các axit gốc α-OH, thuốc mỡ anthralin, kem làm mềm da, bột hắc ín, các retinoid, các thuốc ức chế miễn dịch, và các liệu pháp điều trị kết hợp.

Giáo sư Tiến Sĩ Michael Tirant tại Hội nghị Da liễu Đông dương và Hội nghị Da liễu Cấp cao Thế giới tổ chức tại Hà nội tháng 12/2017
Lựa chọn điều trị được xác định bởi mức độ bệnh và vị trí của bệnh vảy nến cũng như các tác dụng phụ, mong muốn và tuân thủ điều trị của bệnh nhân và những khó khăn về tài chính. Cho đến nay các lựa chọn điều trị tại chỗ và toàn thân đều có sẵn, nhưng không có lựa chọn nào cho kết quả lâm sàng xuất sắc mà không kèm theo nguy cơ tác dụng phụ.
Hướng điều trị mới cho bệnh vẩy nến
Một nghiên cứu lâm sàng tại Rumani được công bố trên tạp chí khoa học Journal of Biological Regulators & Homeostatic Agents, các tác giả đã nghiên cứu về tính hiệu quả của các sản phẩm tự nhiên Dr Michaels® (Soratinex®) trong điều trị tại chỗ ở một nhóm bệnh nhân bị vảy nến. 62 bệnh nhân (34 nam/28 nữ) đến từ Romani, độ tuổi từ 18 đến 70 tuổi (trung bình: 52 tuổi) bị bệnh vảy nến thể mảng mạn tính mức độ nhẹ đến nặng đã được đưa vào nghiên cứu này.
Mỗi bệnh nhân được điều trị bằng một liệu trình ba pha các sản phẩm tự nhiên Dr Michaels® (Soratinex®), 2 lần mỗi ngày trong vòng 6 tuần. Thành phần bao gồm các loại tinh dầu Tinh dâu hạnh nhân, Dầu Jojoba, Dầu bơ, Tinh dầu cà rốt, Chiết xuất từ hoa cúc vạn thọ, Tinh dầu cam, Dầu mầm lúa mạch, Dầu hạt mơ, Tinh dầu hoa oải hương, Dầu cây đàn hương, Dầu cây hoắc hương, Cây phong lữ, Chiết xuất hoa hương thảo, Dầu thầu dầu, Tinh dầu cam chua…

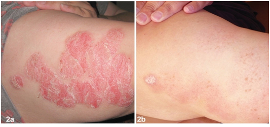
Hình ảnh trước và sau 8 tuần sử dụng sản phẩm Dr Michaels® (Soratinex®)
Các sản phẩm này được bôi lên da và vùng da dầu bị tổn thương vảy nến, không bôi lên da mặt, da vùng sinh dục và các nếp gấp. Đánh giá các sản phẩm thử nghiệm dựa trên điểm PASI của mỗi bệnh nhân tại thời điểm tuần thứ 0,1,2,3,4,5 và 6. Các sản phẩm thử nghiệm không có hiệu quả với 5/57 bệnh nhân. Mười một người có cải thiện mức độ vừa (điểm PASI giảm 26-50%), 11 bệnh nhân có cải thiện tốt (điểm PASI giảm 51-75%) và 30 bệnh nhân có cải thiện vượt bậc (điểm PASI giảm 76-100%). 23% tổng số bệnh nhân xuất hiện viêm nang lông nhưng đã hết sau khi ngưng điều trị. Năm bệnh nhân xuất hiện ngứa và triệu chứng dần tự biến mất.
Các hiệu ứng của sản phẩm được đánh giá là không có khác biệt bởi 44% bệnh nhân, là tốt bởi 40% và rất tuyệt vời bởi 16% số bệnh nhân. 95% số bệnh nhân nói rằng họ sẽ tiếp tục sử dụng sản phẩm thử nghiệm này bởi vì nó có hiệu quả và ít tác dụng phụ do đây là các sản phẩm tự nhiên. Trong nghiên cứu thực nghiệm của chúng tôi, ứng dụng tại chỗ của các sản phẩm từ thiên nhiên Dr Michaels® (Soratinex®) đã chứng minh đây là một lựa chọn điều trị tự nhiên có hiệu quả cho bệnh vảy nến.
Hệ thống phòng khám chuyên khoa Dr. Michaels Psoriasis & Skin Clinic tại 81-83 Lò đúc, Hà nội và 87 Trần Não, TP. Hồ Chí Minh và áp dụng phương pháp Dr Michaels: Sử dụng các loại thảo dược để điều trị bệnh vảy nến, viêm da cơ địa, bệnh bạch biến và nhiều bệnh da liễu khác. Cơ sở được áp dụng theo tiêu chuẩn, phác đồ tương tự các phòng khám chuyên khoa Dr. Michaels tại Australia, châu Âu với nguồn thảo dược được sản xuất, nhập khẩu từ Australia.
Phương pháp Dr. Michaels do Giáo sư, Tiến sĩ, Bác sĩ Michael Tirant phát triển hơn 30 năm qua và được thừa nhận rộng rãi để điều trị vảy nến và nhiều bệnh da liễu khác. Nhiều thử nghiệm lâm sàng cũng như các nghiên cứu đánh giá y học đã được công bố quốc tế tại những nước châu Âu, chứng minh giải pháp Dr. Michaels từ thảo dược đạt hiệu quả cao, an toàn và không có tác dụng phụ. Phương pháp này cũng được đánh giá là an toàn cho trẻ em và phụ nữ có thai.











