Sáng 26/5, thông tin từ Bệnh viện Trưng Vương, nữ bệnh nhân 68 tuổi (ngụ TP.HCM) vừa được các bác sĩ của nhiều chuyên khoa tại bệnh viện phối hợp cắt bỏ khối u màng não "khủng" có kích thước to hơn quả trứng vịt.
Người nhà bệnh nhân cho biết, nhiều năm qua, bà chỉ đến bệnh viện khám, dùng thuốc và về nhà khi có dấu hiệu khỏe lên.
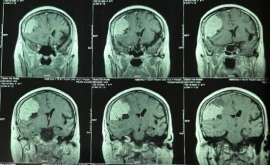
Lần này đến khám tại Bệnh viện Trưng Vương, bệnh nhân trong tình trạng đau đầu, yếu nửa người bên trái. Kết quả chẩn đoán phát hiện u màng não lớn vùng thái dương bên phải, có nhiều mạch máu nuôi u.

Hình ảnh khối u màng não "khủng" có kích thước to hơn quả trứng vịt. (Ảnh: BVCC)
Ngay lập tức, bệnh nhân được làm xét nghiệm tiền phẫu để lên kế hoạch phẫu thuật lấy u. Tuy nhiên, trong quá trình chuẩn bị, các bác sĩ phát hiện bệnh nhân mắc bệnh lý mạch vành nên phải được hội chẩn trở lại bởi các bác sĩ chuyên khoa tim mạch.
Theo Bệnh viện Trưng Vương, trước khi phẫu thuật, các bác sĩ đánh giá khối u màng não có quá nhiều mạch máu nuôi nên phải hội ý với bác sĩ chuyên khoa can thiệp nội mạch (DSA). Việc tắc mạch nuôi u để hạn chế máu chảy khi phẫu thuật đã được tiến hành.
Bệnh nhân sau đó đã được phẫu thuật lấy toàn bộ u vào ngày 16/5. Ngày 25/5, bệnh nhân hồi phục tỉnh táo, hết yếu liệt, sinh hoạt bình thường.
BSCKII Nguyễn Hiền Nhân, chuyên khoa Ngoại thần kinh, Bệnh viện Trưng Vương, người trực tiếp phẫu thuật cho biết, u màng não thông thường là u lành tính, chiếm tỷ lệ khoảng từ 14,3 % đến 19% u nguyên phát trong sọ.
Theo BS Nhân, u màng não lành tính thường có tốc độ phát triển chậm, kéo dài trong nhiều năm. Do đó, khi có triệu chứng đau đầu kéo dài thì người bệnh nên đi khám ở những bệnh viện có khả năng chẩn đoán được các khối u não, và cũng nên miêu tả rõ tỉnh trạng bệnh lý của mình để bác sĩ có hướng xử trí hợp lý.
BS Nhân cho biết thêm, đa số là u màng não lành tính đều tiên lượng tốt sau khi phẫu thuật lấy toàn bộ u. Tuy nhiên, việc phát hiện và can thiệp sớm sẽ giúp ca phẫu thuật đơn giản hơn nhiều do với những trường hợp để kéo dài khiến khối u to và hệ thống mạch máu nuôi u đã phát triển phức tạp.
Tỷ lệ mắc bệnh cao nhất ở tuổi 45; tỷ lệ nữ:nam là 1,8:1. U màng não xảy ra ở trẻ nhỏ và thiếu niên chiếm khoảng 1,5% (thường từ 10 đến 20 tuổi).
"Ở ca bệnh trên, khối u rất to do bệnh nhân bệnh kéo dài mà không được phát hiện. Chính vì thế khi mổ, ekip phải cần sự phối hợp của bác sĩ can thiệp nội mạch, làm tắc các mạch máu nuôi chằng chịt trước khi lấy u. Điều này giúp ca phẫu thuật an toàn và tỷ lệ thành công cao hơn”, bác sĩ Nhân nói.


















Bình luận