• Zalo

Những phát hiện y học sáng giá nhất 2015

Sức khỏeChủ Nhật, 27/12/2015 07:56:00 +07:00Google News

Trong năm 2015 vừa qua, nhiều thành tựu y học sáng giá đã được phát minh, mang đến hy vọng mới trong việc cứu chữa một số bệnh nguy hiểm.

Khám phá tổ tiên loài người mới Homo nalendi. Vào tháng 9 vừa qua, các nhà khoa học đã công bố phát hiện tổ tiên mới của con người chưa từng biết trước đó. Tổ tiên Homo nalendi được tìm thấy trong một hang động ở Nam Phi.

Khám phá tổ tiên loài người mới Homo nalendi. Vào tháng 9 vừa qua, các nhà khoa học đã công bố phát hiện tổ tiên mới của con người chưa từng biết trước đó. Tổ tiên Homo nalendi được tìm thấy trong một hang động ở Nam Phi.

Các nhà khảo cổ đã khai quật được ít nhất 15 bộ xương người. Giới chuyên gia cho rằng, những phần xương của người Homo Naldedi tìm được này phần nhiều là xương người trưởng thành, cũng có cả xương của trẻ sơ sinh và người lớn tuổi.

Các nhà khảo cổ đã khai quật được ít nhất 15 bộ xương người. Giới chuyên gia cho rằng, những phần xương của người Homo Naldedi tìm được này phần nhiều là xương người trưởng thành, cũng có cả xương của trẻ sơ sinh và người lớn tuổi.

Ở đại học Havard thì lại đưa được gen của voi ma mút đã tuyệt chủng vào một con voi hiện đại và ở nơi khác, các nhà khoa học đã sử dụng CRISPR để sửa đổi các cơ quan ở lợn để cấy ghép nhân và sửa đổi muỗi diệt trừ bệnh sốt rét.

Ở đại học Havard thì lại đưa được gen của voi ma mút đã tuyệt chủng vào một con voi hiện đại và ở nơi khác, các nhà khoa học đã sử dụng CRISPR để sửa đổi các cơ quan ở lợn để cấy ghép nhân và sửa đổi muỗi diệt trừ bệnh sốt rét.

Phát hiện ung thư qua xét nghiệm máu. Vào tháng 11, các nhà nghiên cứu tại đại học Umea (Thụy Điển) đã phát triển một phương pháp chỉ qua xét nghiệm máu có thể phát hiện ung trong giai đoạn đầu.

Phát hiện ung thư qua xét nghiệm máu. Vào tháng 11, các nhà nghiên cứu tại đại học Umea (Thụy Điển) đã phát triển một phương pháp chỉ qua xét nghiệm máu có thể phát hiện ung trong giai đoạn đầu.

Xét nghiệm này đúng tới 98% và phân loại các loại bệnh ung thư chính xác 71% đối với những bộ phận cơ thể như phổi, vú, tuyến tụy, não, gan, đại tràng và trực tràng. Xét nghiệm này cũng có thể được sử dụng để giúp bác sĩ xác định quá trình điều trị tốt nhất.

Xét nghiệm này đúng tới 98% và phân loại các loại bệnh ung thư chính xác 71% đối với những bộ phận cơ thể như phổi, vú, tuyến tụy, não, gan, đại tràng và trực tràng. Xét nghiệm này cũng có thể được sử dụng để giúp bác sĩ xác định quá trình điều trị tốt nhất.

Phát hiện kháng sinh mới cực kỳ mạnh. Đầu năm nay, các nhà khoa học đã chế ra một loại kháng sinh mới sau 30 năm miệt mài nghiên cứu. Kháng sinh này có tên là teixobactin, có thể điều trị các bệnh nhiễm trùng do vi khuẩn như bệnh lao, nhiễm trùng huyết, và C. diff. Quan trọng hơn, loại thuốc này không gây tác dụng phụ.

Phát hiện kháng sinh mới cực kỳ mạnh. Đầu năm nay, các nhà khoa học đã chế ra một loại kháng sinh mới sau 30 năm miệt mài nghiên cứu. Kháng sinh này có tên là teixobactin, có thể điều trị các bệnh nhiễm trùng do vi khuẩn như bệnh lao, nhiễm trùng huyết, và C. diff. Quan trọng hơn, loại thuốc này không gây tác dụng phụ.

Bản đồ 'biểu hiện gen' được coi như một mã di truyền thứ hai. Vào tháng 2, một nhóm các nhà di truyền đã hoàn thành bản đồ biểu hiện gen của con người sau gần một thập kỷ nghiên cứu.

Bản đồ 'biểu hiện gen' được coi như một mã di truyền thứ hai. Vào tháng 2, một nhóm các nhà di truyền đã hoàn thành bản đồ biểu hiện gen của con người sau gần một thập kỷ nghiên cứu.

Từ bản đồ của hơn 100 loại tế bào nhân sơ và nhân chuẩn, sẽ giúp các nhà nghiên cứu và y khoa hiểu rõ hơn mối liên hệ phức tạp giữa ADN con người với các loại bệnh tật.

Từ bản đồ của hơn 100 loại tế bào nhân sơ và nhân chuẩn, sẽ giúp các nhà nghiên cứu và y khoa hiểu rõ hơn mối liên hệ phức tạp giữa ADN con người với các loại bệnh tật.

Cấy kính áp tròng vĩnh viễn vào mắt. Vào cuối tháng 5, công ty Bionic Lens Ocumetic đã chi 3 triệu đô để nghiên cứu và phát triển một loại kính áp tròng sử dụng vật liệu sinh học để cấy vĩnh viễn vào mắt chỉ với ca phẫu thuật 8 phút. Thị lực của người bệnh sẽ tăng cao gấp 10 lần so với thị lực 10/10.

Cấy kính áp tròng vĩnh viễn vào mắt. Vào cuối tháng 5, công ty Bionic Lens Ocumetic đã chi 3 triệu đô để nghiên cứu và phát triển một loại kính áp tròng sử dụng vật liệu sinh học để cấy vĩnh viễn vào mắt chỉ với ca phẫu thuật 8 phút. Thị lực của người bệnh sẽ tăng cao gấp 10 lần so với thị lực 10/10.

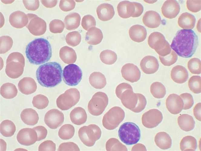
Biến tế bào ung thư máu thành tế bào miễn dịch. Vào tháng 3, các nhà khoa học tại trường ĐH Stanford đã tiết lộ phương pháp biến các tế bào bạch cầu độc hại thành tế bào miễn dịch vô hại được gọi là thực bào.

Biến tế bào ung thư máu thành tế bào miễn dịch. Vào tháng 3, các nhà khoa học tại trường ĐH Stanford đã tiết lộ phương pháp biến các tế bào bạch cầu độc hại thành tế bào miễn dịch vô hại được gọi là thực bào.

Phát hiện này có thể biến đổi các tế bào ung thư ở người thành các đại thực bào. Không những thế, những tế bào này khi đó còn có thể trở thành vũ khí giúp cơ thể tiêu diệt các khối u khác

Phát hiện này có thể biến đổi các tế bào ung thư ở người thành các đại thực bào. Không những thế, những tế bào này khi đó còn có thể trở thành vũ khí giúp cơ thể tiêu diệt các khối u khác

Bình luận
vtcnews.vn