
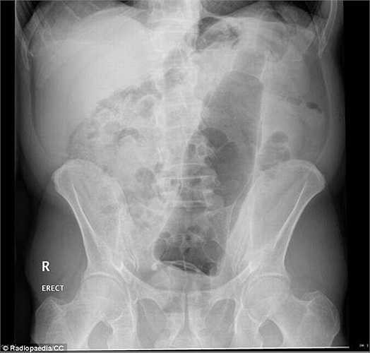
Một người đàn ông Malaysia (40 tuổi) nhập viện với hình chụp X-quang cái chày đang nằm trong trực tràng. Theo ông này chia sẻ, ông bị trượt ngã khi đang nấu ăn.

Các nhân viên y tế không thể nhịn cười khi hình ảnh X-quang cho thấy trong hậu môn của bệnh nhân là một chai nước ngọt.

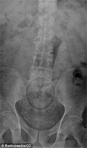
Bệnh nhân này quá đau bụng vì mắc kẹt bên trong là một lọ cà phê hòa tan nổi tiếng.

Trường hợp khác, sex-toy được đưa vào quá sâu bên trong âm đạo một phụ nữ.

Bệnh nhân này trong khi quan hệ tình dục đã sử dụng đồ chơi tình dục tự chế bằng cách vặn một ống thuốc vitamin Berocca đặt lên đỉnh hộp xịt rồi cho nó vào trực tràng.

Các bác sỹ điều trị đã cho biết một loại máy rung đã mắc kẹt trong hậu môn của bệnh nhân này.

Hình ảnh X-quang là một trái cà tím đang nằm sâu trong trực tràng.

Các bác sỹ khó mà lý giải được tại sao nó lại đi qua được hậu môn của bệnh nhân và có xu hướng dịch chuyển lên trên.

Một trường hợp tương tự là trái cam cũng không may lọt vào trực tràng.



Bình luận