• Bình luận

  • Facebook

  • Twitter

  • Zalo

    Zalo

  • Copy

Bé gái mới chào đời ‘mang thai’ song sinh

Phóng viên14/02/2015 11:33:00 +07:00
14/02/2015 11:33:00 +07:00
Google News

Mới đây, các bác sỹ Hồng Kông đã công bố một trường hợp bé gái mới chào đời với hai bào thai đang phát triển trong bụng.

Đây là hiện tượng ‘thai trong thai’ hay còn gọi là song sinh sống ký sinh do thụ tinh bên ngoài phôi - được xem là một trong những trường hợp y học rất hiếm trên thế giới.

Đây là hiện tượng ‘thai trong thai’ hay còn gọi là song sinh sống ký sinh do thụ tinh bên ngoài phôi - được xem là một trong những trường hợp y học rất hiếm trên thế giới.

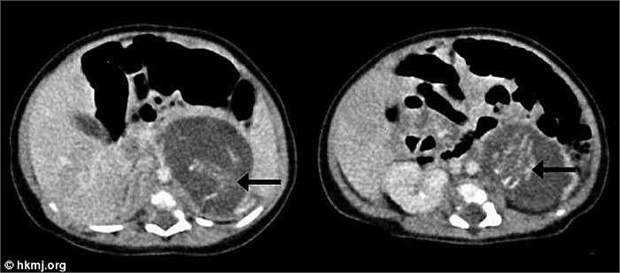
Bé gái được sinh ra tại Bệnh viện Queen Elizabeth vào tháng 11/2010 đã trải qua cuộc phẫu thuật vào lúc 3 tuần tuổi để loại bỏ các bào thai.

Bé gái được sinh ra tại Bệnh viện Queen Elizabeth vào tháng 11/2010 đã trải qua cuộc phẫu thuật vào lúc 3 tuần tuổi để loại bỏ các bào thai.

Các bào thai từ 8-10 tuần tuổi. Mỗi thai nhi có 4 chi, 1 cột sống, xương sườn, ruột và hậu môn. Một thai nhi nặng 14,2 gram, thai nhi còn lại nặng 9,3 gram. Mỗi bào thai đều có dây rốn riêng nối với nhau thai.

Các bào thai từ 8-10 tuần tuổi. Mỗi thai nhi có 4 chi, 1 cột sống, xương sườn, ruột và hậu môn. Một thai nhi nặng 14,2 gram, thai nhi còn lại nặng 9,3 gram. Mỗi bào thai đều có dây rốn riêng nối với nhau thai.

Hiện tại, cô bé đã phục hồi tốt sau cuộc phẫu thuật và được xuất viện 8 ngày sau đó.

Hiện tại, cô bé đã phục hồi tốt sau cuộc phẫu thuật và được xuất viện 8 ngày sau đó.

WHO xác nhận các bào thai này được xem là u phát triển đột biến, một dạng ung thư mà nguyên nhân được cho là do đa thai gây ra. Hiện tượng thai trong thai là một căn bệnh hiếm, có tỷ lệ xảy ra vào khoảng 1/500.000 ca. Tuy nhiên, thế giới mới chỉ ghi nhận chưa tới 200 ca.

WHO xác nhận các bào thai này được xem là u phát triển đột biến, một dạng ung thư mà nguyên nhân được cho là do đa thai gây ra. Hiện tượng thai trong thai là một căn bệnh hiếm, có tỷ lệ xảy ra vào khoảng 1/500.000 ca. Tuy nhiên, thế giới mới chỉ ghi nhận chưa tới 200 ca.

Năm 2012, tại Trung Quốc cũng ghi nhận trường hợp của nữ sinh 11 tuổi vào viện với một cánh tay thứ ba mọc trên lưng.

Năm 2012, tại Trung Quốc cũng ghi nhận trường hợp của nữ sinh 11 tuổi vào viện với một cánh tay thứ ba mọc trên lưng.

Những kiểm tra và xét nghiệm sâu hơn cho thấy đây là một phần cơ thể của người em song sinh nhưng đã không thể phát triển.

Những kiểm tra và xét nghiệm sâu hơn cho thấy đây là một phần cơ thể của người em song sinh nhưng đã không thể phát triển.

Bình luận
vtcnews.vn